Intranasal vaccine against COVID-19 based on a recombinant variant of the Sendai virus (Paramyxoviridae: Respirovirus) strain Moscow
- Authors: Kudrov G.A.1, Zainutdinov S.S.1, Grazhdantseva A.A.1, Shipovalov A.V.1, Sivolobova G.F.1, Semenova A.V.1, Merkuleva I.A.1, Shcherbakov D.N.1, Taranov O.S.1, Zaykovskaya A.V.1, Shulgina I.S.1, Pyankov O.V.1, Kochneva G.V.1
-
Affiliations:
- State Research Center of Virology and Biotechnology “Vector” of Rospotrebnadzor
- Issue: Vol 68, No 3 (2023)
- Pages: 215-227
- Section: ORIGINAL RESEARCHES
- URL: https://virusjour.crie.ru/jour/article/view/7167
- DOI: https://doi.org/10.36233/0507-4088-172
- EDN: https://elibrary.ru/tyngdx
- ID: 7167
Cite item
Full Text
Abstract
Introduction. Intranasal vaccination using live vector vaccines based on non-pathogenic or slightly pathogenic viruses is the one of the most convenient, safe and effective ways to prevent respiratory infections, including COVID-19. Sendai virus is the best suited for this purpose, since it is respiratory virus and is capable of limited replication in human bronchial epithelial cells without causing disease.
The aim of the work is to design and study the vaccine properties of recombinant Sendai virus, Moscow strain, expressing secreted receptor-binding domain of SARS-CoV-2 Delta strain S protein (RBDdelta) during a single intranasal immunization.
Materials and methods. Recombinant Sendai virus carrying insertion of RBDdelta transgene between P and M genes was constructed using reverse genetics and synthetic biology methods. Expression of RBDdelta was analyzed by Western blot. Vaccine properties were studied in two models: Syrian hamsters and BALB/c mice. Immunogenicity was evaluated by ELISA and virus-neutralization assays. Protectiveness was assessed by quantitation of SARS-CoV-2 RNA in RT-PCR and histological analysis of the lungs.
Results. Based on Sendai virus Moscow strain, a recombinant Sen-RBDdelta(M) was constructed that expressed a secreted RBDdelta immunologically identical to natural SARS-CoV-2 protein. A single intranasal administration of Sen-RBDdelta(M) to hamsters and mice significantly, by 15 and 107 times, respectively, reduced replicative activity of SARS-CoV-2 in lungs of animals, preventing the development of pneumonia. An effective induction of virus-neutralizing antibodies has also been demonstrated in mice.
Conclusion. Sen-RBDdelta(M) is a promising vaccine construct against SARS-CoV-2 infection and has a protective properties even after a single intranasal introduction.
Full Text
Введение
Пандемия COVID-19, вызванная вирусом SARS-CoV-2, сделала разработку вакцин главным биомедицинским приоритетом современного здравоохранения. По данным Всемирной организации здравоохранения (ВОЗ), на конец 2022 г. 199 вакцинных препаратов находились на стадии доклинических испытаний и 175 вакцин – на стадии клинических испытаний [1]. Различные платформы использовались для создания вакцин на основе шиповидного S-белка SARS-CoV-2 и его рецептор-связывающего домена (RBD), включая ДНК и РНК, векторные и белковые субъединичные вакцины [2]. Векторные вакцины на основе непатогенных или слабопатогенных для человека респираторных вирусов обладают рядом преимуществ и могут имитировать природную инфекцию соответствующего патогена.
Поскольку входными воротами для SARS-CoV-2 являются слизистые оболочки, для остановки этой инфекции огромное значение приобретает именно мукозальная иммунизация. По сравнению с инъекционными вакцинами, на производстве которых сосредоточены огромные усилия фармацевтических компаний, интраназальные вакцины обеспечивают дополнительные уровни защиты, такие как секреторные димерные IgA (sIgA) и резидентные В- и Т-клетки памяти в слизистой оболочке дыхательных путей [3].
При создании мукозальных вакцин принципиальным является наличие в них живых вирусов, которые способны преодолевать многочисленные барьеры слизистой оболочки и достигать лимфатических фолликулов, где происходит формирование полноценного иммунного ответа [4]. Живые вирусные частицы плотно упакованы и содержат на своей поверхности гликопротеины, полисахаридные цепочки которых защищают белки от ферментативной деградации. Вирус Сендай (парагрипп мышей I типа, род Respirovirus, семейство Paramyxoviridae) как нельзя лучше подходит для этих целей, поскольку является респираторным вирусом и способен, не вызывая заболевания, ограниченно реплицироваться в клетках бронхиального эпителия человека, а также в некоторых категориях дендритных клеток. В процессе ограниченной репликации рекомбинантные варианты вируса Сендай способны индуцировать в организме человека специфический иммунный ответ на экспрессируемые ими протективно значимые чужеродные вирусные антигены [5]. Использование вируса Сендай в качестве вакцинного вектора также обеспечивает неспецифическую противовирусную защиту организма, поскольку он является одним из лучших природных индукторов интерферонов и применялся для производства человеческого лейкоцитарного интерферона до начала эпохи рекомбинантных белков [6, 7].
Важным преимуществом вируса Сендай как вакцинного вектора является высокая стабильность его генома. Стабильность связана с необычным свойством генома вируса Сендай, так же как и других парамиксовирусов, которое называется правилом шести и обозначает строгую полигексамерность длины генома (6n + 0, где n – один нуклеотид). Это свойство способствует особенно низкой частоте гомологичной рекомбинации геномных РНК парамиксовирусов [8]. Кроме того, репликация вируса Сендай происходит исключительно в цитоплазме, а не в ядре клетки, и риск генетической интеграции вирусного генома в геном хозяина минимален [9].
Вакцинные свойства вируса Сендай активно исследуются в мировой практике. Так, интраназальные вакцины на его основе успешно прошли клинические испытания против парагриппа человека I типа и респираторно-синцитиального вируса [10]. Целый ряд рекомбинантных вирусов Сендай проходят доклинические исследования в качестве вакцин против респираторных инфекций человека [11], включая COVID-19 [9].
Ранее нами была разработана векторная система для получения рекомбинантных вариантов вируса Сендай российского штамма Москва [12]. Векторная система включает четыре плазмидные конструкции, содержащие:
1) полноразмерную ДНК-копию генома вируса с сайтом для встройки трансгенов между генами P и M;
2) ген N;
3) ген Р;
4) ген L [13].
Экспрессия генов N, P и L является необходимым элементом оживления рекомбинантных вариантов вируса, они кодируют белки репликативного комплекса, который синтезирует геномную РНК.
Целью настоящей работы являлось конструирование и изучение вакцинных свойств рекомбинантного варианта вируса Сендай штамма Москва, экспрессирующего секретируемый рецептор-связывающий домен S-белка SARS-CoV-2 штамма дельта, при однократной интраназальной иммунизации.
Материалы и методы
Культуры клеток
В работе использовали 293-Т7 – дериват культуры клеток почки эмбриона человека 293, конститутивно продуцирующий полимеразу фага Т7; LLC-MK2 – культуру клеток почки макаки-резуса; Vero E6 – клетки почки африканской зелёной мартышки. Культуры клеток 293, LLC-MK2 и Vero E6 получены из ATCC (American Type Culture Collection). Культура клеток 293-T7 получена нами ранее путём встройки в хромосомную ДНК клеток 293 оптимизированного трансгена полимеразы Т7 (Т7opt). Кратко: последовательность гена T7opt была выделена с использованием рестриктаз EcoRI – BglII из коммерческой плазмиды pCAGGS [14] и клонирована по сайтам EcoRI – BglII/BamHI в плазмиду pCDH-EF1a-MCS-IRES-zeo [15]. Получившаяся плазмида pCDH-T7opt была использована для трансформации клеток 293, в результате чего получен клон клеток 293-Т7 со встроенным в хромосомную ДНК трансгеном T7opt.
Плазмиды
Плазмиду pVL3-RBDdelta получали на основе плазмиды pVEAL2-RBD, кодирующей рецептор-связывающий домен (RBD) (308V–541F) S-белка SARS-CoV-2 варианта Wuhan [16]. Для этого в нуклеотидную последовательность, кодирующую RBD, вводили мутации, приводящие к аминокислотным заменам T479K и L452R. Мутацию T479K вводили по методу перекрывающейся полимеразной цепной реакции (ПЦР). На матрице pVEAL2-RBD с использованием пар праймеров T479K_F – IRES-RBD-R и URBD-F – T479K-R (таблица) получали фрагменты RBD, отжигали и затем проводили ПЦР с фланкирующими праймерами URBD-F и IRES-RBD-R и последующий гидролиз фрагмента рестриктазами Bsp13I и AspA2I. Для введения мутации L452R проводили ПЦР на матрице pVEAL2-RBD с использованием пары праймеров URBD-F – L452R-R (таблица) и последующий гидролиз рестриктазами AsuNHI и Bsp13I. Вектор pVL3 гидролизовали AsuNHI и AspA2I и встраивали одновременно обе вставки, содержащие соответствующие мутации.
Таблица. Последовательности нуклеотидов, использованные в работе
Table. Oligonucleotide sequences used in the study
Название Name | Последовательность 3’–5’ Sequence 3’–5’ | Сайты рестриктаз Restriction sites |
T479K-F | atcaggccggcagcaAGccttgtaac | – |
IRES-RBD-R | ggttgtggccatattatcatcgtg | AspA2I |
URBD-F | ctatagggagacccaagctgg | AsuNHI |
T479K_R | gttacaaggCTtgctgccggcctgat | – |
L452R-R | tggacttccggaacagccggtacCggtaattgtagttg | Bsp13I |
Delta-F | cggaattcgtacgccaccatgtttgtttttcttgttttattgccacta | BsiWI |
Delta-R | tttatgcatgcgcgctatgtgtaatgtaatttgactcctttgagc | BssHII |
Вирусы
Рекомбинантные варианты вируса Сендай получали на основе штамма Москва [12] с использованием набора плазмидных конструкций, описанных в [13]. Рекомбинантный вирус Сендай Sen2-EGFP(М), несущий встройку зелёного флуоресцентного белка перед геном М, получен ранее [13]. Рекомбинантные вирусы нарабатывали в аллантоисной жидкости 11-дневных куриных эмбрионов в течение 72 ч при 37 °С. Позитивные в реакции гемагглютинации с эритроцитами петуха пробы объединяли, осветляли центрифугированием при 1150 × g 10 мин и однократно замораживали при –40 °С. После разморозки пробирки с аллантоисной жидкостью центрифугировали при 12 000 × g 30 мин при 6 °С (осветление). Вирус из надосадочной жидкости концентрировали центрифугированием при 100 000 × g 45 мин при 6 °С. Полученный осадок суспендировали в фосфатно-солевом буфере (1/10 от исходного объёма) с добавлением MgCl2 до конечной концентрации 1 мМ. Полученную суспензию обрабатывали ультразвуком при частоте колебаний наконечника 22 кГц, амплитуде 14–16 мкм и мощности 300 Вт. Обработку ультразвуком проводили 3 раза по 1 мин с охлаждением после каждой обработки в течение 30 сек во льду. Препарат расфасовывали и хранили при –40 °С.
Титрование вируса Сендай проводили методом бляшек на культуре клеток LLC-MK2 с использованием для визуализации вируса эритроцитов морской свинки, как описано в [17]. Титр вируса выражали в количестве бляшкообразующих единиц (БОЕ) на 1 мл суспензии. Титр очищенного концентрированного препарата вируса Сендай обычно составляет 1,0–1,5 × 109 БОЕ/мл.
Для оценки иммуногенности и протективности вакцины использовали дельта- и гамма-штаммы SARS-CoV-2: hCoV-19/Russia/MOS-2406/2021 (Delta VOC) и hCoV-19/Russia/SA-17620-080521/2021 (Gamma VOC).
Куриные эмбрионы и эритроциты животных
Куриные эмбрионы 11-дневного возраста получали в ЗАО «Птицефабрика Ново-Барышевская» (с. Барышево, Новосибирская обл., Россия).
Кровь петуха и морской свинки была получена из вивария ФБУН «Государственный научный центр вирусологии и биотехнологии «Вектор» Федеральной службы по надзору в сфере защиты прав потребителей и благополучия человека (Роспотребнадзор) (ФБУН ГНЦ ВБ «Вектор»). Промывание эритроцитов и подготовку рабочей 0,1–1% суспензии осуществляли 0,9% раствором хлорида натрия (физиологический раствор).
Работа с лабораторными животными
Все работы с животными проводили в помещениях виварного блока лаборатории биологической защиты 2-го (BSL-2) и 3-го уровня (BSL-3). В работе использовали 16 сирийских хомяков Mesocricetus auratus (самки, возраст 6 недель, масса 80–110 г) и 26 мышей линии BALB/c Mus musculus strain BALB/c (самки, возраст 8 недель, масса 18–22 г), свободных от посторонней микрофлоры, которые были получены из питомника лабораторных животных ФБУН ГНЦ ВБ «Вектор». Животных содержали на стандартном рационе питания и свободном доступе к воде. Манипуляции с животными, включая иммунизацию, отбор смывов и крови, осуществляли после премедикации раствором золетила (Valdepharm, Франция). Иммунизацию проводили интраназально, объём каждого инокулята составлял 100 мкл для хомяков (по 50 мкл в каждую ноздрю) и 10 мкл для мышей. Контрольным группам вводили аналогичное количество фосфатно-солевого буфера, на котором проводили разведение вируса. Забор крови у животных осуществляли через 28 дней после вакцинации для выявления общих и вируснейтрализующих антител к SARS-CoV-2.
Определение общих антител класса IgG к коронавирусу проводили с использованием тест-системы «Вектор ИФА SARS-CoV-2-ΑΤ» («Вектор-Бест», Россия). Для детекции IgG использовали пероксидазный конъюгат Goat Anti-Mouse IgG (Biomedicals, США). Нейтрализующую активность сывороток крови определяли на культуре клеток Vero E6 против вируса hCoV-19/Russia/MOS-2406/2021 (Delta VOC), как описано в [16].
На 30-й день после однократной иммунизации проводили интраназальную инокуляцию опытных и контрольных групп вирусом SARS-CoV-2 в дозе 50 ИД50 на одно животное в соответствии с ранее полученными данными о восприимчивости сирийских хомяков [18] и мышей BALB/c [19]. Контроль клинического состояния после заражения проводили ежедневно, у всех животных фиксировали массу и брали смывы из носовой полости. Животных выводили из эксперимента по достижении максимума вирусной нагрузки в тканях лёгких: на 6-е сутки после заражения хомяков и на 5-е сутки – мышей, извлекали лёгкие и ткани носовой полости, готовили 10% гомогенаты. Фрагменты лёгких фиксировали в формалиново-фосфатном буфере для микроскопического исследования. Репликацию вируса SARS-CoV-2 в смывах из носовой полости и гомогенатах тканей оценивали методом ПЦР в реальном времени с обратной транскрипцией (ОТ-ПЦР-РВ) с использованием набора реагентов «Вектор-ПЦРрв-nCoV-RG» (ФБУН ГНЦ ВБ «Вектор», Россия). Амплификацию проводили на приборе Rotor-Gene 6000 (BioRad, США) с детекцией количества ПЦР-продукта по каналу FAM. Вирусная нагрузка была определена в миллилитре (копий/мл) для смывов и в миллиграмме (копий/мг) для тканей органов по значениям порога цикла (ct). В качестве стандарта использованы серийные разведения стандартизированного положительного контроля, поставляемого с набором реагентов для ПЦР.
Авторы подтверждают соблюдение институциональных, национальных и международных стандартов по использованию лабораторных животных в соответствии с Consensus Author Guidelines for Animal Use (IAVES, July 23, 2010). Протокол исследования одобрен биоэтической комиссией организации (протокол № 3 от 28.12.2022).
Микроскопические исследования
Для светооптического исследования фиксированные в 4% растворе параформальдегида на растворе Хенкса фрагменты лёгких хомяков обезвоживали стандартным методом в серии растворов этанола нарастающей концентрации, изопропаноле и ксилоле с использованием гистологического автомата Sakura Tissue-Tek II (Sakura, Япония) и заключали в среду для заливки «Гистомикс» («БиоВитрум», Россия), формируя блоки. Из блоков готовили срезы толщиной 3–4 мкм на микротоме Leica RM 2255 (Leica, Германия), которые монтировали на обезжиренные предметные стекла и высушивали на воздухе. Для окраски срезы депарафинировали в ксилоле и проводили по растворам этилового спирта нисходящей концентрации, промывали в дистиллированной воде. Окраска гематоксилином и эозином: срезы окрашивали гематоксилином Эрлиха в течение 30 сек, промывали в проточной воде, затем окрашивали эозином (1%) в течение 2 мин.
Статистическая обработка данных
Статистическую обработку результатов проводили с помощью программы Statistica 13.0. Достоверность различий между группами оценивали при помощи непараметрических методов сравнения. Для двух групп использован U-критерий Манна–Уитни, при большем количестве – тест множественного сравнения Данна. Различия считались значимыми при двустороннем p < 0,05.
Результаты
Рекомбинантный вариант Sen-RBDdelta(M) вируса Сендай штамма Москва
Создание рекомбинантного варианта Sen-RBDdelta(M) вируса Сендай штамма Москва осуществляли с использованием ранее сконструированного набора из четырёх плазмидных ДНК, три из которых экспрессируют гены N, P и L вируса Сендай штамма Москва (вспомогательные плазмиды), а четвёртая содержит полноразмерную копию ДНК геномной РНК вируса Сендай штамма Москва (GenBank Acc. KP717417.1), в состав которой введён структурный элемент для встройки и экспрессии трансгенов между генами P и M (pSen2-MCS(M)) (рис. 1) [13]. Структурный элемент включает полилинкер из пяти уникальных сайтов для крупнощепящих эндонуклеаз рестрикции BsiWI, NruI, ClaI, AscI, BssHII, за которым следует сигнал терминации транскрипции трансгена и сигнал реинициации транскрипции последующего гена (M) для РНК-полимеразы вируса Сендай. Экспрессия генов N, P и L вируса Сендай штамма Москва, так же как и синтез геномных РНК рекомбинантных штаммов вируса Сендай, осуществляется с соответствующих плазмидных ДНК под контролем полимеразы фага Т7 в клетках 293-Т7. Точность размера геномных РНК контролируется рибозимами, расположенными по её 3’- и 5’-концам.
Рис. 1. Схема конструирования рекомбинантного варианта Sen-RBDdelta(M) вируса Сендай штамма Москва с введением трансгена RBDdelta между генами Р и М. Синтез геномной РНК рекомбинантных штаммов вируса Сендай осуществляется с плазмидной ДНК под контролем полимеразы фага Т7 (указано стрелкой). рТ7 – промотор; ТТ7 – терминатор полимеразы Т7; rib – рибозим.
В качестве трансгена для получения вакцинного конструкта использовали последовательность рецептор-связывающего домена S-белка SARS-CoV-2 штамма дельта (RBDdelta, участок S-белка 308V–541F), слитую вместе с сигнальным пептидом (участок S-белка 1M–15C), которую получали методом ПЦР с использованием в качестве матрицы плазмиды pVL3-RBDdelta и пары праймеров Delta-F – Delta-R (таблица). Этот ампликон (трансген RBDdelta и сигнальный пептид S-белка в его N-концевой части) был встроен рестриктазно-лигазным методом по сайтам BsiWI – BssHII в полилинкер геномной плазмиды pSen2-MCS(M) с последующим получением инфекционного рекомбинантного вируса Sen-RBDdelta(M) со встройкой трансгена RBDdelta между генами Р и М (рис. 1). Полногеномное секвенирование подтвердило ожидаемую первичную структуру рекомбинантного варианта.
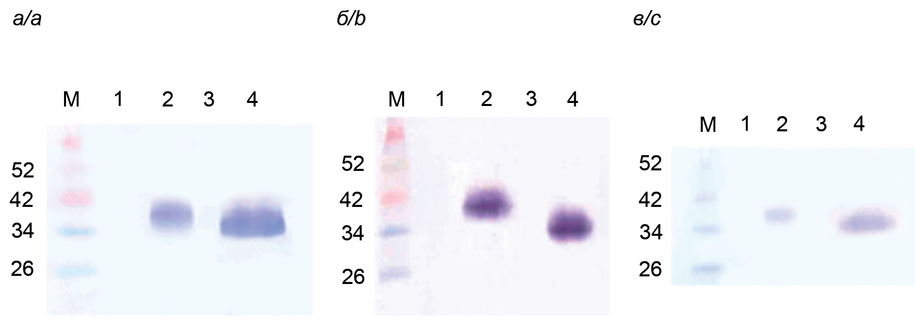
Экспрессию RBDdelta в составе рекомбинантного варианта Sen-RBDdelta(M) оценивали методом вестерн-блоттинга. В рекомбинантном варианте RBDdelta сконструирован в виде секретируемого белка (содержит лидерный домен в N-концевой части), поэтому для вестерн-блоттинга мы использовали аллантоисную жидкость 11-дневных куриных эмбрионов (рис. 2 а, в) или культуральную среду клеток LLC-MK2 (рис. 2 б) после их инфицирования штаммом Sen-RBDdelta(M).
Рис. 2. Вестерн-блоттинг экспрессии RBDdelta рекомбинантным вирусом Sen-RBDdelta(M): а, в – в аллантоисной жидкости 11-дневных куриных эмбрионов; б – в культуральной среде клеток LLC-MK2. В качестве первичных антител использована поликлональная сыворотка крови мыши, иммунизированной RBDdelta, разведение 1 : 500 (а, б), или сыворотка крови вакцинированного реконвалесцента COVID-19, разведение 1 : 200 (в). М – контроль молекулярной массы; 1 – отрицательный контроль аллантоисной жидкости неинфицированных куриных эмбрионов (а, в) или культуральной среды неинфицированных клеток (б); 2 – положительный контроль RBD (200 нг, 35 кДа), экспрессированного в клетках CHO-К1; 3 – пустая дорожка; 4 – аллантоисная жидкость куриных эмбрионов, инфицированных Sen-RBDdelta(M), 15 мкл (а, в), или культуральная среда клеток, инфицированных Sen-RBDdelta(M) (б).
Как следует из рис. 2 а, в, RBDdelta выявляется в аллантоисной жидкости куриных эмбрионов в виде белка с молекулярной массой 39 кДа и взаимодействует как с антителами иммунной мыши, так и с сывороткой крови человека, прошедшего двукратную вакцинацию «Спутником-V», а через полгода переболевшего в лёгкой форме COVID-19. В культуральной среде LLC-MK2 клеток, инфицированных рекомбинантным штаммом Sen-RBDdelta(M), также выявляется RBDdelta (риc. 2 б) с использованием в качестве первичных антител иммунной сыворотки мыши.
Оценка протективности и иммуногенности Sen-RBDdelta(M) на модели хомяков
Экспериментальной группе золотистых китайских хомяков (n = 8) однократно проводили интраназальную иммунизацию вирусом Sen-RBDdelta(M) в дозе 107 БОЕ/животное. Контрольной группе (n = 8) интраназально вводили фосфатный буферный раствор, на котором проводили разведение вируса. Вирус Сендай является природным патогеном мышей, но он также патогенен и для других грызунов, включая хомяков [20]. В связи с этим всех животных ежедневно наблюдали на предмет побочных клинических реакций после введения рекомбинантного вируса. Иммунизированные животные в 1-ю неделю демонстрировали клинические ухудшения в виде потускнения и локальной потери шерстяного покрова. К 7-м суткам зафиксирована смерть одного вакцинированного животного. В последующие дни клиника системного ответа регрессировала.
Через 28 дней после иммунизации у всех животных измеряли уровень общих и вируснейтрализующих антител класса IgG против вируса SARS-CoV-2 штамма hCoV-19/Russia/MOS-2406/2021 (Delta VOC). У 100% вакцинированных индукции иммунного ответа не выявлено. Показатель титра общих антикоронавирусных антител cоставил менее 1 : 50 (ниже порога определения), показатель титра вируснейтрализующих антител – менее 1 : 7 (ниже порога определения).
На 30-й день после иммунизации группам вакцинированных хомяков и контроля проводили интраназальную инокуляцию вирусом SARS-CoV-2 штаммом hCoV-19/Russia/MOS-2406/2021 (Delta VOC). Контроль клинического состояния после заражения проводили ежедневно, у всех животных фиксировали массу (рис. 3 а). Репликацию коронавируса оценивали методом ОТ-ПЦР-РВ в смывах из полости носа ежедневно со 2-х по 5-е сутки после заражения (рис. 3 б) и на 6-е сутки после окончания эксперимента в тканях лёгких и носовой полости (рис. 3 в).
Рис. 3. Клиническое заболевание у хомяков после интраназального заражения штаммом дельта SARS-CoV-2: а – динамика изменения массы тела в процентах, точки – медианные значения, вертикальные линии – 95% доверительные интервалы; б – вирусная нагрузка (копий/мл) в смывах носовой полости; в – вирусная нагрузка (копий/мг) в гомогенатах тканей носовой полости и лёгких, точки – индивидуальные значения, горизонтальные линии – медианы, вертикальные линии – 95% доверительные интервалы. Значения p указаны для статистически значимых различий (p < 0,05) в U-тесте Манна–Уитни.
Как показано на рис. 3 а, у всех животных, инфицированных SARS-CoV-2, после заражения наблюдалась прогрессирующая потеря массы тела, у неиммунизированного контроля достигающая к 6-м суткам после заражения 6%, у вакцинированных – 4,2% без значимых различий между группами. Исследование методом ОТ-ПЦР-РВ образцов смывов носовой полости cо 2-х по 5-е сутки (рис. 3 б) и образцов тканей полости носа на 6-е сутки (рис. 3 в) показало присутствие генетического материала вируса SARS-CoV-2 у всех животных без достоверных межгрупповых различий. В тканях лёгких на 6-е сутки в группе иммунизированных выявлено достоверное снижение количества копий вирусной РНК относительно контроля (p = 0,0093, тест Манна–Уитни), разница медиан составила 1,18 lg копий/мг (рис. 3 в).
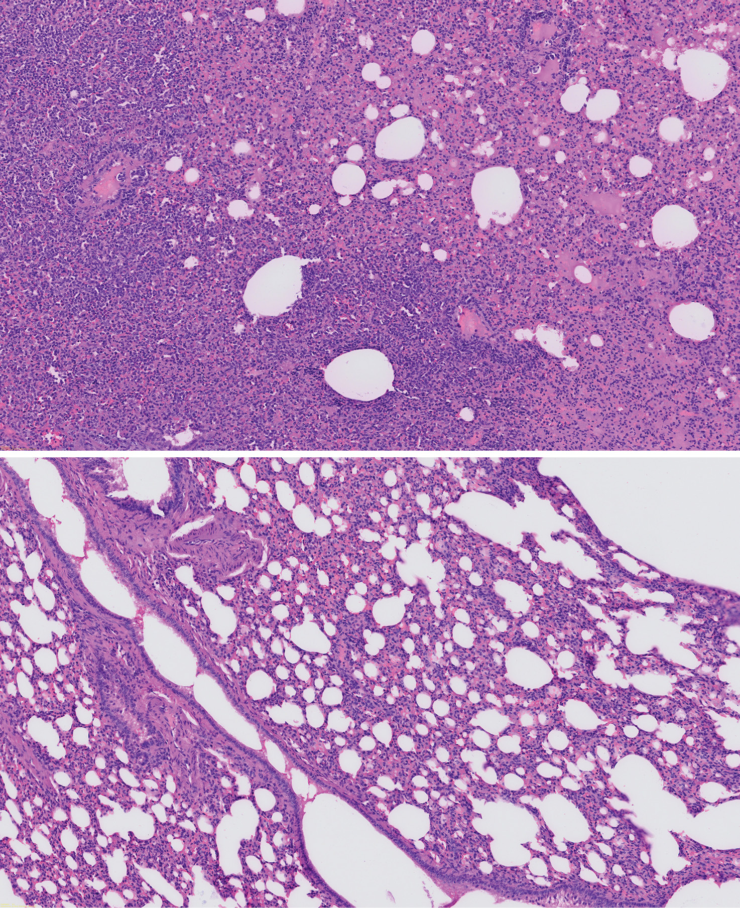
Патоморфологический анализ показал, что основное различие в состоянии лёгких животных вакцинированной и контрольной групп состояло в преобладании в контрольной группе выраженного нарушения сосудистой проницаемости в форме плазморрагии, достигающей 43–67% от общей площади срезов (рис. 4 а). В лёгких вакцинированных хомяков обширных локусов плазморрагии и геморрагии не обнаруживалось (рис. 4 б).
В группе вакцинированных животных отмечалась наименьшая степень выраженности воспалительно-клеточной инфильтрации. С более слабой воспалительно-клеточной реакцией у вакцинированных хомяков связано и заметное сохранение воздушности лёгочной ткани (рис. 4 б). В контрольной группе наблюдалась потеря воздушности лёгких, которая сопровождалась максимальными проявлениями плазморрагии (рис. 4 а).
Рис. 4. Гистологический срез лёгкого сирийского хомяка из контрольной (а) и вакцинированной группы (б).
Оценка протективности и иммуногенности Sen-RBDdelta(M) на модели мышей линии BALB/c
В эксперименте использовали 26 мышей линии BALB/c, разделённых на 3 группы: 1-ю группу (n = 9) интраназально иммунизировали рекомбинантом Sen-RBDdelta(M) в дозе 105 БОЕ/мышь; мышам 2-й группы (n = 8) аналогично вводили рекомбинант Sen2-EGFP(М) (контроль вакцинного вектора); 3-й группе (n = 9, отрицательный контроль) интраназально вводили фосфатно-солевой буфер, использованный для получения вирусных суспензий.
Основываясь на ранее полученных данных о патогенности высокой дозы вируса Сендай для хомяков, доза иммунизации мышей была снижена до 105 БОЕ/мышь. При такой дозе иммунизации видимых признаков заболевания и летальность мышей не наблюдали на протяжении всего исследуемого периода. Через 28 дней после иммунизации у всех животных измеряли уровень общих (рис. 5 а) и вируснейтрализующих (рис. 5 б) антител класса IgG против вируса SARS-CoV-2 штамма hCoV-19/Russia/MOS-2406/2021 (Delta VOC).
IgG к коронавирусу были выявлены у всех вакцинированных животных при отрицательных результатах в группах вектора и контроля (рис. 5 а). Вируснейтрализующие антитела (рис. 5 б) выявлены у всех вакцинированных животных, средний геометрический титр составил 127 ± 1,41.
Рис. 5. Общие и нейтрализующие антитела класса IgG против дельта-штамма SARS-CoV-2 в сыворотках иммунизированных мышей линии BALB/c: a – значение оптической плотности (OП450), определённое методом ИФА; точки – индивидуальные значения, вершины гистограммы – медианы, вертикальные линии – 95% доверительные интервалы; б – титры нейтрализации (HT50), точки – индивидуальные значения, вершины гистограмм – средние геометрические значения, вертикальные линии – стандартные отклонения, горизонтальная пунктирная линия – пороговое значение титра (HT50 < 1 : 10). Значения p указаны для статистически значимых различий (p < 0,05) в тесте множественного сравнения Данна.
Протективность вакцины Sen-RBDdelta(M) оценивали в отношении гамма-штамма SARS-CoV-2 hCoV-19/Russia/SA-17620-080521/2021 (Gamma VOC). Выбор гамма-штамма обусловлен восприимчивостью к нему мышей линии BALB/c. Предшествующие эксперименты по заражению вариантом дельта SARS-CoV-2 показали отсутствие развития инфекционного процесса у мышей линии BALB/c [19]. Результаты представлены на рис. 6, из которого следует, что в группе вакцинированных (Sen-RBDdelta(M)) происходит достоверное снижение вирусной нагрузки в обоих органах-мишенях относительно интактного контроля, разница медиан в тканях полости носа составила 3,17 lg копий/мг (p = 0,0012), в тканях лёгких – 2,03 lg копий/мг (p = 0,0377). Группа контроля вектора, иммунизированная рекомбинантом Sen2-EGFP(М), имела больший уровень вирусной нагрузки по сравнению с группой Sen-RBDdelta(M) и меньший в сравнении с интактным контролем без статистически значимых различий между группами.
Рис. 6. Вирусная нагрузка (копий/мг) в гомогенатах тканей носовой полости и лёгких мышей BALB/c на 5-е сутки после заражения штаммом гамма SARS-CoV-2. На диаграмме точки – индивидуальные значения, горизонтальные линии – медианы, вертикальные линии – 95% доверительные интервалы. Значения p указаны для статистически значимых различий (p < 0,05) в тесте множественного сравнения Данна.
Обсуждение
В качестве антигена для создания интраназальной вакцинной конструкции против COVID-19 на основе вируса Сендай мы использовали секретируемую форму рецептор-связывающего домена S-белка SARS-CoV-2 высокопатогенного штамма дельта (RBDdelta). Секретируемая форма RBDdelta содержит на N-конце сигнальный пептид S-белка MFVFLVLLPLVSSQC, который обеспечивает выход белка во внеклеточное пространство [21]. Ранее было показано, что секретируемая форма рекомбинантного RBD SARS-CoV-2, полученного в клетках яичников китайского хомяка CHO-K1, специфически взаимодействует с человеческим рецептором – ангиотензинпревращающим ферментом 2 и сывороточными IgG реконвалесцентов COVID-19, а также обеспечивает индукцию специфического гуморального иммунного ответа у мышей при двукратной внутрибрюшинной иммунизации с использованием в качестве адъюванта гидроокиси алюминия [16].
Полученный нами рекомбинантный вариант вируса Сендай штамма Москва Sen-RBDdelta(M) эффективно продуцирует RBDdelta в культуральную среду и аллантоисную жидкость при заражении клеток LLC-MK2 и куриных эмбрионов соответственно. Это свидетельствует о стабильности экспрессии трансгена RBDdelta в составе рекомбинантного вируса Сендай в разных клеточных системах. Продуцируемый RBDdelta взаимодействует как с антителами иммунной мыши, так и с сывороткой крови человека, прошедшего двукратную вакцинацию «Спутником-V», а через полгода переболевшего COVID-19 в лёгкой форме. Это свидетельствует об иммуноидентичности секретируемого рекомбинантным вариантом Sen-RBDdelta(M) белка RBDdelta и RBD домена вирионного S-гликопротеина SARS-CoV-2.
Для оценки иммуногенности и протективности рекомбинантного штамма Sen-RBDdelta(M) в отношении вируса SARS-CoV-2 мы использовали два вида лабораторных животных: высокочувствительных к коронавирусной инфекции хомяков и избирательно чувствительных к некоторым штаммам SARS-CoV-2 мышей линии BALB/c. В обоих случаях мы использовали однократное интраназальное введение препарата Sen-RBDdelta(M), поскольку такой путь вакцинации является наилучшим в плане простоты использования, а также наименее травматичным и безопасным в сравнении с парентеральным введением.
При вакцинации сирийских хомяков препаратом Sen-RBDdelta(M) не выявлено достоверных признаков индукции гуморального ответа в отношении вируса SARS-CoV-2 через 4 недели после вакцинации. Однако последующее заражение вакцинированных хомяков дельта-вариантом SARS-CoV-2 показало наличие протективного эффекта исследуемой вакцины в тканях лёгких, в 15 раз (на 1,18 lg) снизив репликационную активность вируса SARS-CoV-2 относительно неиммунизированного контроля на 6-е сутки после заряжания. Выраженное нарушение сосудистой проницаемости (плазморрагии) тканей лёгких, выявленное у животных контрольной группы, являлось основным патоморфологическим признаком тяжести инфекционного процесса.
Полученные данные согласуются с данными литературы о слабой восприимчивости хомяков к иммунизации RBD шиповидного белка SARS-CoV-2 как в виде субъединичных вакцин [22], так и в составе векторной конструкции [23]. Выявленный протективный эффект может быть связан с индуцированным вакциной специфическим клеточным иммунным ответом, как было показано в работе [24].
На модели мышей линии BALB/c показано, что однократная интраназальная иммунизация рекомбинантным вирусом Sen-RBDdelta(M) индуцирует гуморальный ответ с формированием нейтрализующих антител класса IgG к дельта-варианту SARS-CoV-2 через 4 недели после иммунизации. Заражение вакцинированных мышей патогенным для них гамма-штаммом SARS-CoV-2 продемонстрировало высокую протективность вакцины Sen-RBDdelta(M). В результате анализа вирусной нагрузки на 5-е сутки после заражения в сравнении с контролем определено достоверное снижение количества РНК вируса SARS-CoV-2 в 107 раз (на 2,09 lg) в тканях лёгких и в 1497 раз (на 3,27 lg) в тканях носовой полости. Важно отметить, что интраназальное введение вектора Sen2-EGFP(М) также обладало хорошим защитным эффектом, обеспеченным, как мы полагаем, известными иммуностимулирующими свойствами самого вируса Сендай [5, 9].
Заключение
Проведённое нами исследование подтвердило имеющиеся в литературе данные, что хомяки не являются адекватной моделью для оценки иммуногенности вакцин, основным антигеном которых является RBD шиповидного белка SARS-CoV-2. Несмотря на отсутствие гуморального иммунитета, однократная интраназальная вакцинация хомяков рекомбинантным вариантом Sen-RBDdelta(M) обеспечивает защиту лёгких от развития пневмонии, останавливая инфекцию коронавируса в верхних дыхательных путях. На модели мышей линии BALB/c показана эффективная индукция вируснейтрализующих антител после однократной интраназальной иммунизации вирусом Sen-RBDdelta(M), а также его высокая протективность в отношении коронавирусной инфекции, существенный вклад в которую вносит векторный компонент рекомбинантного конструкта.
Таким образом, полученный нами рекомбинантный вариант вируса Сендай штамма Москва Sen-RBDdelta(M) является перспективным вакцинным конструктом в отношении вируса SARS-CoV-2 и обладает протективными свойствами уже при однократном интраназальном введении. Дальнейшие доклинические исследования, включающие расширение круга модельных животных, оптимизацию дозы вакцинации, оценку параметров мукозального и клеточного иммунного ответа, позволят однозначно оценить вакцинный потенциал рекомбинантного варианта Sen-RBDdelta(M) вируса Сендай штамма Москва.
About the authors
Gleb A. Kudrov
State Research Center of Virology and Biotechnology “Vector” of Rospotrebnadzor
Email: kudrov_ga@vector.nsc.ru
ORCID iD: 0000-0002-8251-7040
junior research assistant
Russian Federation, 630559, Koltsovo, Novosibirsk RegionSergei S. Zainutdinov
State Research Center of Virology and Biotechnology “Vector” of Rospotrebnadzor
Email: zaynutdinov_ss@vector.nsc.ru
ORCID iD: 0000-0001-5818-4402
researcher
Russian Federation, 630559, Koltsovo, Novosibirsk RegionAntonina A. Grazhdantseva
State Research Center of Virology and Biotechnology “Vector” of Rospotrebnadzor
Email: gaa@vector.nsc.ru
ORCID iD: 0000-0001-7712-3699
PhD, senior researcher
Russian Federation, 630559, Koltsovo, Novosibirsk RegionAndrey V. Shipovalov
State Research Center of Virology and Biotechnology “Vector” of Rospotrebnadzor
Email: shipovalov_av@vector.nsc.ru
ORCID iD: 0000-0003-1201-8307
researcher
Russian Federation, 630559, Koltsovo, Novosibirsk RegionGalina F. Sivolobova
State Research Center of Virology and Biotechnology “Vector” of Rospotrebnadzor
Email: sgf@vector.nsc.ru
ORCID iD: 0000-0002-8362-0314
PhD, senior researcher
Russian Federation, 630559, Koltsovo, Novosibirsk RegionAnastasiya V. Semenova
State Research Center of Virology and Biotechnology “Vector” of Rospotrebnadzor
Email: tkacheva_av@vector.nsc.ru
ORCID iD: 0000-0001-7767-0537
PhD, senior researcher
Russian Federation, 630559, Koltsovo, Novosibirsk RegionIuliia A. Merkuleva
State Research Center of Virology and Biotechnology “Vector” of Rospotrebnadzor
Email: merkuleva_yua@vector.nsc.ru
ORCID iD: 0000-0002-6974-0686
PhD, junior research assistant
Russian Federation, 630559, Koltsovo, Novosibirsk RegionDmitry N. Shcherbakov
State Research Center of Virology and Biotechnology “Vector” of Rospotrebnadzor
Email: scherbakov_dn@vector.nsc.ru
ORCID iD: 0000-0001-8023-4453
PhD, head of laboratory
Russian Federation, 630559, Koltsovo, Novosibirsk RegionOleg S. Taranov
State Research Center of Virology and Biotechnology “Vector” of Rospotrebnadzor
Email: taranov@vector.nsc.ru
ORCID iD: 0000-0002-6746-8092
head of department
Russian Federation, 630559, Koltsovo, Novosibirsk RegionAnna V. Zaykovskaya
State Research Center of Virology and Biotechnology “Vector” of Rospotrebnadzor
Email: zaykovskaya_av@vector.nsc.ru
ORCID iD: 0000-0002-0450-5212
PhD, senior researcher
Russian Federation, 630559, Koltsovo, Novosibirsk RegionIrina S. Shulgina
State Research Center of Virology and Biotechnology “Vector” of Rospotrebnadzor
Email: Shulgina_is@vector.nsc.ru
ORCID iD: 0000-0002-6850-338X
graduate student
Russian Federation, 630559, Koltsovo, Novosibirsk RegionOleg V. Pyankov
State Research Center of Virology and Biotechnology “Vector” of Rospotrebnadzor
Email: pyankov@vector.nsc.ru
ORCID iD: 0000-0003-3340-8750
PhD, head of department
Russian Federation, 630559, Koltsovo, Novosibirsk RegionGalina V. Kochneva
State Research Center of Virology and Biotechnology “Vector” of Rospotrebnadzor
Author for correspondence.
Email: kochneva@vector.nsc.ru
ORCID iD: 0000-0002-2420-0483
Dr. Sci. (Biol.), head of laboratory
Russian Federation, 630559, Koltsovo, Novosibirsk RegionReferences
- WHO. COVID-19 vaccine tracker and landscape. Available at: https://www.who.int/publications/m/item/draft-landscape-of-covid-19-candidate-vaccines
- Wang N., Shang J., Jiang S., Du L. Subunit vaccines against emerging pathogenic human coronaviruses. Front. Microbiol. 2020; 11: 298. https://doi.org/10.3389/fmicb.2020.00298
- Lund F.E., Randall T.D. Scent of a vaccine. Science. 2021; 373(6553): 397–9. https://doi.org/10.1126/science.abg9857
- Zaynutdinov S.S., Sivolobova G.F., Loktev V.B., Kochneva G.V. Mucosal immunity and vaccines against viral infections. Voprosy virusologii. 2021; 66(6): 399–408. https://doi.org/10.36233/0507-4088-82 (in Russian)
- Zaychuk T.A., Nechipurenko Yu.D., Adzhubey A.A., Onikienko S.B., Chereshnev V.A., Zaynutdinov S.S., et al. The challenges of vaccine development against betacoronaviruses: antibody dependent enhancementand sendai virus as a possible vaccine vector. Molekulyarnaya biologiya. 2020; 54(6): 922–38. https://doi.org/10.31857/S0026898420060154 https://www.elibrary.ru/cfddrc (in Russian)
- Cantell K., Hirvonen S., Kauppinen H.L., Myllylä G. Production of interferon in human leukocytes from normal donors with the use of Sendai virus. Methods Enzymol. 1981; 78(Pt. A): 29–38. https://doi.org/10.1016/0076-6879(81)78094-7
- Nyman T.A., Tölö H., Parkkinen J., Kalkkinen N. Identification of nine interferon-alpha subtypes produced by Sendai virus-induced human peripheral blood leucocytes. Biochem. J. 1998; 329(Pt. 2): 295–302. https://doi.org/10.1042/bj3290295
- Matsumoto Y., Ohta K., Kolakofsky D., Nishio M. The control of paramyxovirus genome hexamer length and mRNA editing. RNA. 2018; 24(4): 461–7. https://doi.org/10.1261/rna.065243.117
- Morimoto S., Saeki K., Takeshita M., Hirano K., Shirakawa M., Yamada Y., et al. Intranasal Sendai virus-based SARS-CoV-2 vaccine using a mouse model. Genes Cells. 2023; 28(1): 29–41. https://doi.org/10.1111/gtc.12992
- Scaggs Huang F., Bernstein D.I., Slobod K.S., Portner A., Takimoto T., Russell C.J., et al. Safety and immunogenicity of an intranasal Sendai virus-based vaccine for human parainfluenza virus type I and respiratory syncytial virus (SeVRSV) in adults. Hum. Vaccin. Immunother. 2021; 17(2): 554–9. https://doi.org/10.1080/21645515.2020.1779517
- Russell C.J., Hurwitz J.L. Sendai virus-vectored vaccines that express envelope glycoproteins of respiratory viruses. Viruses. 2021; 13(6): 1023. https://doi.org/10.3390/v13061023
- Zainutdinov S.S., Tikunov A.Y., Matveeva O.V., Netesov S.V., Kochneva G.V. Complete genome sequence of the oncolytic Sendai virus strain Moscow. Genome Announc. 2016; 4(4): e00818–16. https://doi.org/10.1128/genomea.00818-16
- Kochneva G.V., Grazhdantseva A.A., Sivolobova G.F., Zaynutdinov S.S. A set of recombinant plasmid DNA for obtaining recombinant Sendai viruses strain Moscow (variants). Patent RF № 2787724; 2023. (in Russian)
- Addgene. T7opt in pCAGGS. Available at: https://www.addgene.org/65974
- NovoPro. pCDH-EF1a-MCS-IRES-zeo vector map and sequence. Available at: https://www.novoprolabs.com/vector/Vgm4tkma
- Merkuleva I.A., Shcherbakov D.N., Borgoyakova M.B., Shanshin D.V., Rudometov A.P., Karpenko L.I., et al. Comparative immunogenicity of the recombinant receptor-binding domain of protein S SARS-CoV-2 obtained in prokaryotic and mammalian expression systems. Vaccines (Basel). 2022; 10(1): 96. https://doi.org/10.3390/vaccines10010096
- Tatsumoto N., Miyauchi T., Arditi M., Yamashita M. Quantification of infectious Sendai virus using plaque assay. Bio Protoc. 2018; 8(21): e3068. https://doi.org/10.21769/bioprotoc.3068
- Shipovalov A.V., Kudrov G.A., Tomilov A.A., Bodnev S.A., Boldyrev N.D., Ovchinnikova A.S., et al. Pathogenicity of the SARS-COV-2 virus variants of concern for the Syrian golden hamster. Problemy osobo opasnykh infektsiy. 2022; (3): 164–9. https://doi.org/10.21055/0370-1069-2022-3-164-169 https://www.elibrary.ru/mirlbr (in Russian)
- Shipovalov A.V., Kudrov G.A., Tomilov A.A., Bodnev S.A., Boldyrev N.D., Ovchinnikova A.S., et al. Susceptibility to SARS-CoV-2 virus variants of concern in mouse models. Problemy osobo opasnykh infektsiy. 2022; (1): 148–55. https://doi.org/10.21055/0370-1069-2022-1-148-155 https://www.elibrary.ru/vgamvf (in Russian)
- Matveeva O.V., Kochneva G.V., Netesov S.V., Onikienko S.B., Chumakov P.M. Mechanisms of oncolysis by paramyxovirus Sendai. Acta Naturae. 2015; 7(2): 6–16.
- Merkul’eva Yu.A., Shcherbakov D.N., Belen’kaya S.V., Isaeva A.A., Nesmeyanova V.S., Shan’shin D.V., et al. Integrative plasmid vector pVEAL2-S-RBD providing expression and secretion of the recombinant receptor-binding domain (RBD) of the SARS-CoV-2 coronavirus in mammalian cells, recombinant strain of the CHO-R1-RBD cell line and recombinant SARS-CoV-2 RBD protein produced by the specified strain of the cell line CHO-K1-RBD. Patent RF № 2752858; 2021.
- Merkuleva I.A., Shcherbakov D.N., Borgoyakova M.B., Isaeva A.A., Nesmeyanova V.S., Volkova N.V., et al. Are hamsters a suitable model for evaluating the immunogenicity of RBD-based anti-COVID-19 subunit vaccines? Viruses. 2022; 14(5): 1060. https://doi.org/10.3390/v14051060
- Ilinykh P.A., Periasamy S., Huang K., Kuzmina N.A., Ramanathan P., Meyer M.N., et al. A single intranasal dose of human parainfluenza virus type 3-vectored vaccine induces effective antibody and memory T cell response in the lungs and protects hamsters against SARS-CoV-2. NPJ Vaccines. 2022; 7(1): 47. https://doi.org/10.1038/s41541-022-00471-3
- Castro J.T., Fumagalli M.J., Hojo-Souza N.S., Azevedo P., Salazar N., Rattis B., et al. Neutralizing antibody – independent immunity to SARS-CoV-2 in hamsters and hACE-2 transgenic mice immunized with a RBD/nucleocapsid fusion protein. BioRxiv. 2021. Preprint. https://doi.org/10.1101/2021.09.16.460663
Supplementary files









