Antiviral activity of basidial fungus Inonotus obliquus aqueous extract against SARS-CоV-2 virus (Coronaviridae: Betacoronavirus: Sarbecovirus) in vivo in BALB/c mice model
- Authors: Shipovalov A.V.1, Kudrov G.A.1, Kartashov M.Y.1, Drachkova I.A.1, Pyankov O.V.1, Omigov V.V.1, Taranov O.S.1, Teplyakova T.V.1
-
Affiliations:
- State Research Center of Virology and Biotechnology “Vector” of Rospotrebnadzor
- Issue: Vol 68, No 2 (2023)
- Pages: 152-160
- Section: ORIGINAL RESEARCHES
- URL: https://virusjour.crie.ru/jour/article/view/6559
- DOI: https://doi.org/10.36233/0507-4088-168
- EDN: https://elibrary.ru/gewqpk
- ID: 6559
Cite item
Full Text
Abstract
Introduction. The COVID-19 pandemic combined with seasonal epidemics of respiratory viral diseases requires targeted antiviral prophylaxis with restorative and immunostimulant drugs. The compounds of natural origin are low-toxic, but active against several viruses at the same time. One of the most famous compounds is Inonotus obliquus aqueous extract. The fruit body of basidial fungus I. obliquus is called Chaga mushroom.
The aim of the work ‒ was to study the antiviral activity of I. obliquus aqueous extract against the SARS-CoV-2 virus in vivo.
Materials and methods. Antiviral activity of I. obliquus aqueous extract sample (#20-17) was analyzed against strain of SARS-CoV-2 Omicron ВА.5.2 virus. The experiments were carried out in BALB/c inbred mice. The SARS-CoV-2 viral load was measured using quantitative real-time PCR combined with reverse transcription. The severity of lung tissue damage was assessed by histological methods.
Results. The peak values of the viral load in murine lung tissues were determined 72 hours after intranasal inoculation at dose of 2,85 lg TCID50. The quantitative real-time PCR testing has shown a significant decrease in the viral load compared to the control group by 4,65 lg copies/ml and 5,72 lg copies/ml in the lung tissue and nasal cavity samples, respectively. Histological methods revealed that the decrease in the number and frequency of observed pathomorphological changes in murine lung tissues depended on the introduction of the compound under study.
Conclusion. The results obtained indicate the possibility of using basidial fungus Inonotus obliquus aqueous extract as a preventive agent against circulating variants of SARS-CoV-2 virus.
Full Text
Введение
Первый случай выявления нового коронавируса SARS-CоV-2 (Coronaviridae: Betacoronavirus: Sarbecovirus) был зарегистрирован в Ухане, КНР, в декабре 2019 г. [1]. Вирус быстро распространился по всему земному шару, вызвав пандемию. Болезнь, вызванная вирусом SARS-CoV-2, получила название COVID-19. Общими клиническими проявлениями данного заболевания являются лихорадка, сухой кашель, у ряда пациентов – одышка, мышечные и (или) суставные боли, головная боль головокружение, снижение вкуса и обоняния, диарея и тошнота. Кроме того, чрезмерная активация иммунных и воспалительных реакций хозяина может привести к обширному высвобождению цитокинов («цитокиновый шторм»), вызывая полиорганное повреждение [2]. У небольшой группы пациентов развивается острый респираторный дистресс-синдром, характеризующийся затруднённым дыханием и низким уровнем кислорода в крови, что может привести к дыхательной недостаточности [3]. Примерно 1% от общего числа зарегистрированных случаев инфицирования заканчивается летальным исходом [4]. Несмотря на снижение патогенности у вновь выявляемых геновариантов коронавируса [5], существует острая потребность в терапевтических и особенно профилактических противовирусных препаратах.
Задокументированы случаи сочетанного инфицирования различными респираторными вирусами пациентов с COVID-19 [6]. При полиэтиологичных острых респираторных вирусных инфекциях (ОРВИ) показано применение иммуностимулирующих, активирующих неспецифические механизмы иммунного ответа препаратов, обладающих широким спектром противовирусного действия [7, 8].
Широко известным природным препаратом, используемым для неспецифической противовирусной профилактики, является водный экстракт плодового тела базидиомицета Inonotus obliquus, более известного как чага. Данный экстракт содержит широкий спектр различных биологически активных соединений [9–11]. Показана противовирусная активность данного препарата в отношении ряда вирусов человека [12–15].
Ранее высказанное предположение о наличии ингибирующего действия водных экстрактов I. obliquus на репликацию коронавируса SARS-CoV-2 [16, 17] позднее было подтверждено in vitro в перевиваемой культуре клеток Vero E6 [18, 19]. С целью углублённого изучения противовирусной активности водных экстрактов базидиомицетов нами было проведено исследование эффективности in vivo.
Несмотря на то что приматы являются наиболее адекватными моделями для изучения ранних стадий COVID-19 у людей [20], использование более мелких животных также применимо при проведении доклинических и клинических исследований эффективности противовирусных препаратов. Возможность моделирования инфекции SARS-CoV-2 на мышах линии BALB/c была описана ранее [21] и использована нами в данной работе.
Материалы и методы
Соединения. В эксперименте использовали водный экстракт базидиального гриба I. obliquus (образец 20-17), полученный по описанной ранее методике [22].
Вирусы. В работе использовали штамм генетического варианта омикрон ВА.5.2 вируса SARS-CoV-2 hCoV-19/Russia/MOS-SRC-49415/2022 (EPI_ISL_16613436), полученный из Государственной коллекции микроорганизмов ФБУН «Государственный научный центр вирусологии и биотехнологии «Вектор» Роспотребнадзора (ФБУН ГНЦ ВБ «Вектор» Роспотребнадзора). Инфекционный вирус выделяли в культуре клеток Vero Е6, аликвоты вируса были заморожены и хранились при температуре –80 °С. Титр стока составлял не менее 106 ЦПД50/мл. Для исследований использовался 4-й пассаж вируса. Титр вирусной суспензии определяли методом конечных разведений на клетках Vero E6 по методу Рида и Менча [23].
Культуры клеток. В работе использовали линию клеток Vero E6, полученную из коллекции культур клеток ФБУН ГНЦ ВБ «Вектор» Роспотребнадзора. Выращивание монослоя клеток Vero E6 осуществляли в среде DMEM (Gibco, США) с добавлением 10% эмбриональной сыворотки крупного рогатого скота (HyClone, США) и комплексного антибиотика (Gibco, США). В качестве поддерживающей среды при культивировании вируса использовали ту же среду, но с 2% эмбриональной сывороткой.
Животные. В экспериментах использовали мышей инбредной линии BALB/c (Mus musculus strain BALB/c). В работе использовали самцов с массой тела 18–20 г. Животные были получены из питомника лабораторных животных ФБУН ГНЦ ВБ «Вектор» Роспотребнадзора. Мыши содержались в индивидуально вентилируемых садках и имели неограниченный доступ к пище и воде. Акклиматизация к условиям эксперимента была проведена в течение 7 дней до заражения. Во время экспериментов в садках поддерживалась температура 22–24 °С, а относительная влажность – 40–55%.
Этическое утверждение. Авторы подтверждают соблюдение национальных1 и международных руководящих принципов по уходу и гуманному использованию животных в соответствии с Consensus author guidelines for animal use (IAVES 23 July 2010) [24–26]. Все процедуры экспериментов in vivo были рассмотрены и утверждены биоэтической комиссией ФБУН ГНЦ ВБ «Вектор» Роспотребнадзора (заявка ГНЦ ВБ «Вектор»/07-06.2021, утверждена протоколом БЭК № 3 от 15.06.2021).
Изучение токсичности экстракта базидиального гриба I. obliquus. В эксперименте был исследован экстракт базидиального гриба I. obliquus в концентрации 2 мг/мл. Оценку токсичности проводили согласно общепринятой методике [27].
Мышам линии BALB/c, самцам (n = 8) и самкам (n = 8), перорально вводили водный экстракт базидиального гриба I. obliquus в объёме 100 мкл на голову 2 раза в день в течение 5 суток, после чего за мышами наблюдали в течение двух недель.
Исследование эффективности водного экстракта I. obliquus в отношении вируса SARS-CoV-2. В работе использовали две группы животных (1 опытная и 1 контрольная) по 16 мышей в каждой.
Внутрижелудочное введение препарата мышам BALB/c проводилось по лечебно-профилактической схеме каждые 12 ч в течение 10 суток. Объём одномоментно вводимого препарата – 100 мкл. На 7-е сутки от начала эксперимента животных инфицировали интраназально. Препараты вводились за 1 ч до заражения и через 11 ч после, далее – каждые 12 ч. Животным контрольной группы вводили физиологический раствор.
Инфицирование предварительно анестезированных Zoletil 100 (Virbac, Франция) животных производили интраназально инокуляцией вируса пипеткой в объёме 20 мкл в дозе 50 ИД50. Через 72 ч после инфицирования всех животных подвергали эвтаназии методом цервикальной дислокации, после чего производили отбор тканей носовой полости и лёгких. Полученные с помощью механического гомогенизатора (FastPrep-24, MP Biomedicals, США) 10% гомогенаты тканей осветляли путём центрифугирования при 6000 об/мин (Eppendorf MiniSpin plus, Германия). Аликвоты осветлённых образцов использовали для анализа ПЦР (полимеразная цепная реакция). Затем гомогенаты подвергали немедленной заморозке и хранению при температуре –70 °С.
Определение РНК вируса SARS-CoV-2 в биологических образцах методом количественного ПЦР-РВ. Для выделения РНК использовали набор «РИБО-преп» («АмплиСенс», Россия). Синтез комплементарной ДНК (кДНК) из выделенной РНК проводили реагентами для реакции обратной транскрипции «Реверта-L» (ЦНИИЭ Роспотребнадзора, Россия) согласно инструкции производителя.
Для количественного определения РНК вируса SARS-CoV-2 использовали набор реагентов «Вектор-ПЦРрв-nCoV-RG» (ФБУН ГНЦ ВБ «Вектор» Роспотребнадзора, Россия). Амплификацию проводили на приборе Rotor Gene 6000 (BioRad, США) с детекцией наработки ПЦР-продукта по каналу FAM.
Стандартная кривая, установленная между логарифмом концентраций вирусной кДНК и пороговым значением Ct (Сycle threshold), была получена путём 10-кратного последовательного разведения образцов внутреннего положительного контроля (ПКО), поставляемых с соответствующим набором для ПЦР. Образец ПКО представляет собой раствор рекомбинантной бактериальной плазмиды, содержащей вставку ДНК, комплементарную фрагменту гена 1ab вируса SARS-CoV-2. Начальная концентрация плазмиды составляла 106 копий/реакция, конечная концентрация – 0,1 копий/реакция. Значения Ct были получены по двум флуоресцентным каналам: для вирусной кДНК и для ПКО. Вирусную нагрузку измеряли по значениям Ct вирусной кДНК, масштабированным относительно значений Ct ПКО.
Гистологические исследования. Забор органов от инфицированных животных осуществляли через 72 ч после заражения. Образцы фиксировали в 10% растворе забуференного формалина («БиоВитрум», Россия) для гистологических исследований в течение 48 ч. Обработку материала проводили по общепринятой методике: последовательное обезвоживание в этиловом спирте возрастающей концентрации, пропитывание в смеси ксилола–парафина и заливка в парафиновые блоки. Парафиновые срезы толщиной 4–5 мкм готовили с помощью автоматического ротационного микротома НМ-360 (Германия). Срезы окрашивали гематоксилином и эозином. Светооптическое исследование и микрофотосъёмку проводили на микроскопе AxioImager Z1 (Zeiss, Германия) с использованием программного пакета AxioVision 4.8.2 этого же производителя. Распространённость и степень выраженности патологических проявлений инфекционного процесса оценивали при анализе сканов серийных срезов, полученных на цифровом сканере микропрепаратов Olympus SlideView VS200 (Olympus, Германия; программный пакет VS200ASW 3.2).
Статистика. Статистическую обработку результатов проводили с помощью программы Statistica 13.0. Для парного сравнения экспериментальной и контрольной группы применяли U-критерий Манна–Уитни. Различия считали статистически значимыми при p ≤ 0,05.
Результаты
Для оценки токсичности были использованы 16 мышей BALB/c (самцы и самки), получавшие перорально водный экстракт базидиального гриба I. obliquus в концентрации 2 мг/мл в объёме 100 мкл на голову 2 раза в день в течение 5 суток. За время наблюдения (в течение 2 недель) экспериментальные животные не теряли в массе, более того, среднегрупповой прирост массы составил 9,2–10,6%. У животных не наблюдались анорексия, дегидратация (обезвоживание), аномальные выделения, гиперактивность, увеличение периодов неподвижности и сна, увеличение вокализации, самовредительство, агрессивное-оборонительное поведение, социальная изоляция. Гибель животных за всё время наблюдения не фиксировалась. Это свидетельствует о том, что исследуемый препарат не проявляет токсичности в применяемой схеме лечения.
Водный экстракт базидиального гриба I. obliquus (в концентрации 2 мг/мл) был использован в эксперименте по изучению противовирусной активности как не вызывающий токсического эффекта на организм мыши.
После инфицирования животных контроль клинического состояния проводился ежедневно и включал осмотр и измерение массы тела каждой мыши.
У животных наблюдалась незначительная потеря массы – около 5%, что нельзя отнести к значимому показателю тяжести инфекционного процесса при COVID-19. Никаких других признаков болезни или дистресса у мышей в любой момент времени после заражения отмечено не было.
Через 72 ч после инфицирования методом количественной ПЦР-РВ (в реальном времени) была измерена вирусная нагрузка в образцах 10% гомогенатов тканей лёгких и носовой полости животных контрольной и экспериментальной групп и представлена в графическом виде на рис. 1.
Рис. 1. Вирусная нагрузка в образцах 10% гомо- генатов тканей лёгких (а) и носовой полости (б) мышей линии BALB/c на 4-е сутки после интра- назальной инокуляции геновариантом омикрон ВА.5.2 вируса SARS-CoV-2. Вирусная нагрузка выражена в lg копий/мл. Индивидуальные значе- ния представлены точками, 95% доверительный интервал – вертикальной линией. Значения p над скобками представляют собой тест Манна–Уитни, сравнение группы терапии с контролем.
Концентрация вирусной РНК в тканях носовой полости животных экспериментальной и контрольной групп была значительно выше (3,73 и 5,72 lg копий/мл), чем в тканях лёгких (2,42 и 4,65 lg копий/мл).
Вирусная нагрузка значимо снижалась у животных экспериментальной группы относительно контроля на 4,65 и 5,72 lg копий/мл в тканях лёгких (рис. 1 а) и носовой полости (рис. 1 б) соответственно.
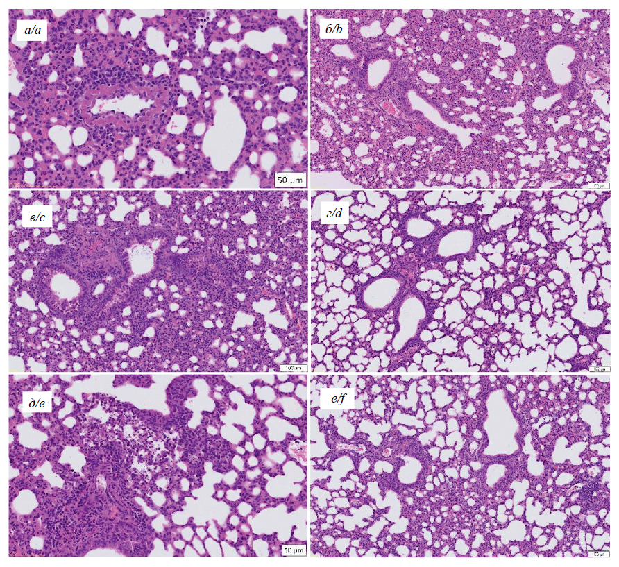
Другим показателем эффективности противовирусного препарата является снижение тяжести поражения тканей лёгкого инфицированного животного. Для изучения патоморфологических изменений тканей лёгких мышей контрольной и экспериментальной группы были проанализированы гистологические препараты, полученные от животных на пике инфекции. В результате исследования выявили ряд патологических изменений: дистелектаз, диффузные кровоизлияния, единичные лимфоцитарные инфильтраты (рис. 2).
Рис. 2. Гистологические срезы лёгких мышей BALB/c, инфицированных вирусом SARS-CoV-2. Окраска – гематоксилин и эозин. Контрольная группа: а – снижение воздушности лёгочной паренхимы (дистелектаз), периваскулярная воспалительноклеточная инфильтрация; в – область резкого снижения воздухонаполнения лёгкого (дистелектаз), бронхи без изменений; д – очаг воспаления с клеточным детритом – на микроснимке в центре, рядом сосуд в состоянии периваскулярной инфильтрации (внизу слева). Экс- периментальная группа: б – гиперемия сосудов, снижение воздухонаполнения паренхимы, бронхи не изменены; г – паренхима в состоянии нормального воздухонаполнения, мелкий локус отёка; е – зона умеренного снижения воздушности на фоне сосудистой гиперемии, бронхи не изменены.
У большинства животных контрольной группы отмечалось умеренное снижение воздушности лёгочной ткани по типу дистелектаза. В целом по группе такие участки занимали приблизительно 70% площади паренхимы. На фоне заметной гиперемии капилляров межальвеолярных стенок практически в каждом исследованном образце наблюдались локусы умеренно выраженной воспалительной клеточной инфильтрации. Клеточный состав инфильтратов был представлен преимущественно лимфоидными элементами при участии немногочисленных нейтрофильных гранулоцитов. У 8 животных лейкоциты, наряду с диффузным распределением по паренхиме, концентрировались вокруг отдельных кровеносных сосудов, демонстрируя тенденцию к васкулиту. Бронхи оставались без видимых изменений.
На гистологических препаратах тканей лёгких животных экспериментальной группы также прослеживалось снижение воздушности лёгочной ткани в пределах степени дистелектаза. Суммарно при визуальной оценке дистелектазы занимали площадь менее половины (47%). У 6 животных обнаруживались умеренно выраженные признаки очаговой воспалительной клеточной инфильтрации. Лимфоидные элементы и нейтрофилы просматривались главным образом в проекции межальвеолярных стенок. Концентрирования лейкоцитов вокруг сосудов и бронхов не отмечалось. В препаратах лёгких остальных животных (в количестве 10) не наблюдалось структурных изменений, выходящих за рамки артефициальных. Таким образом, только у 6 из 16 животных наблюдалась умеренная воспалительная клеточная реакция, в то время как у 10 оказалась практически нормальная микроструктура лёгких.
Обсуждение
Среди известных профилактических препаратов, обладающих противовирусной активностью, водные экстракты I. obliquus характеризуются предельно низкой токсичностью. Острая токсичность проявляется при внутрибрюшинном введении экстракта в концентрациях порядка 20 мг/мл сухого вещества. Очевидно, такие концентрации сухого вещества для водных экстрактов на практике не достижимы без использования специальных способов экстракции [28]. В нашем эксперименте был использован водный экстракт I. obliquus в минимальной из использованных ранее в исследованиях in vivo концентрации 2 мг/мл [15, 28].
Водные экстракты высших базидиомицетов представляют собой комплекс иммуностимулирующих биологически активных веществ [7–16]. Согласно данным молекулярного моделирования (докинга), некоторые из них, такие как бета-глюкан, галактоманнан, бетулиновая кислота и уникальный терпеноид I. obliquus инонотузан С, могут непосредственно взаимодействовать с поверхностными белками вируса, снижая аффинность к рецепторам клетки-хозяина [17, 29]. Однако вирусу SARS-CoV-2 свойственна высокая изменчивость, влияющая в первую очередь на структуру поверхностного S-белка. Изменение его конформации и аффинности обусловливает особенности инфекционного процесса и влияет на тяжесть клинических проявлений. В связи с этим ингибирование взаимодействия вируса с рецептором ACE2 (ангиотензинпревращающим ферментом 2) клетки-хозяина является одной из стратегий при разработке противовирусных препаратов.
Появление и быстрое распространение генетического варианта вируса SARS-CoV-2 омикрон, имеющего более 30 мутаций в S-белке, вызвало предположения о возможном уменьшении чувствительности к соединениям, используемым в профилактике и терапии [30]. В этом случае очевидна необходимость использования актуальных штаммов коронавируса при изучении противовирусной активности перспективных препаратов. В этом эксперименте нами был использован штамм одного из основных циркулирующих геновариантов омикрон ВА.5.2.
До начала эксперимента мы охарактеризовали инфекционный процесс, вызванный вирусом SARS-CoV-2, у мышей линии BALB/c, выявили основные показатели тяжести заболевания с целью использования этой модели для оценки эффективности противовирусных препаратов [31]. Геновариант омикрон ВА.5.2 вируса SARS-CoV-2 эффективно реплицируется в респираторном тракте мышей линии BALB/c, причём в тканях лёгкого вирусная РНК обнаруживается на высоком уровне через 72 ч после заражения [32]. Кроме того, вирусная нагрузка в тканях носовой полости животных значительно выше, чем в тканях лёгких. Эта закономерность характерна для инфекционного процесса, вызванного геновариантами омикрон [33].
В нашем исследовании было показано достоверное системное вирусингибирующее действие водного экстракта чаги при пероральном введении. Пропорциональное снижение вирусной нагрузки как в тканях лёгких, так и в носовой полости свидетельствует о высокой биодоступности водного экстракта I. obliquus.
Полученные данные свидетельствуют о том, что водный экстракт, выделенный из высшего базидиомицета I. obliquus, обладает противовирусной активностью в отношении вируса SARS-CoV-2 не только в инфицированных клетках почки зелёной мартышки (клеточная линия Vero Е6) [19], но и в эксперименте на мелких млекопитающих.
Заключение
При пероральном введении экстракта I. obliquus мышам линии BALB/c по лечебно-профилактической схеме наблюдали эффективное подавление репликации вируса в тканях носовой полости и лёгких. Снижение вирусной нагрузки на слизистых носа уменьшает вероятность передачи возбудителя заболевания, что является важным показателем противовирусного действия препаратов в условиях проведения противоэпидемических мероприятий по недопущению распространения COVID-19. Кроме того, при анализе гистологических препаратов тканей лёгких (основного органа-мишени при ОРВИ) было выявлено, что патоморфологические повреждения, характерные для инфекционного процесса, вызванного вирусом SARS-CoV-2, менее выражены у животных экспериментальной группы. Введение лабораторным животным водного экстракта I. obliquus эффективно защищает лёгкие, снижая вирусную нагрузку, степень развития патологии в них и, как следствие, риск развития тяжёлой формы COVID-19.
Таким образом, водный экстракт, выделенный из высшего базидиомицета I. obliquus и сочетающий низкую токсичность и высокую противовирусную активность, может рассматриваться как профилактическое средство против циркулирующих вариантов вирусов SARS-CoV-2.
1ГОСТ 33215-2014. Межгосударственный стандарт. Руководство по содержанию и уходу за лабораторными животными. Правила оборудования помещений и организации процедур / GOST 33215-2014. Guidelines for accommodation and care of animals. Environment, housing and management; ГОСТ 33216-2014. Межгосударственный стандарт. Руководство по содержанию и уходу за лабораторными животными. Правила содержания и ухода за лабораторными грызунами и кроликами / GOST 33216-2014. Guidelines for accommodation and care of animals. Species-specific provisions for laboratory rodents and rabbits.
About the authors
Andrey V. Shipovalov
State Research Center of Virology and Biotechnology “Vector” of Rospotrebnadzor
Author for correspondence.
Email: shipovalov_av@vector.nsc.ru
ORCID iD: 0000-0003-1201-8307
Researcher, Department «Collection of microorganisms»
Russian Federation, 630559, Koltsovo, Novosibirsk RegionGleb A. Kudrov
State Research Center of Virology and Biotechnology “Vector” of Rospotrebnadzor
Email: kudrov_ga@vector.nsc.ru
ORCID iD: 0000-0002-8251-7040
Junior Researcher, Department «Collection of microorganisms»
Russian Federation, 630559, Koltsovo, Novosibirsk RegionMikhail Yu. Kartashov
State Research Center of Virology and Biotechnology “Vector” of Rospotrebnadzor
Email: kartashov_myu@vector.nsc.ru
ORCID iD: 0000-0002-7857-6822
MD, Researcher, Department of Molecular Virology for Flaviviruses and Viral Hepatitis
Russian Federation, 630559, Koltsovo, Novosibirsk RegionIrina A. Drachkova
State Research Center of Virology and Biotechnology “Vector” of Rospotrebnadzor
Email: drachkova_ia@vector.nsc.ru
ORCID iD: 0000-0002-2522-1657
PhD (Biology), Researcher, Department «Collection of microorganisms»
Russian Federation, 630559, Koltsovo, Novosibirsk RegionOleg V. Pyankov
State Research Center of Virology and Biotechnology “Vector” of Rospotrebnadzor
Email: pyankov_ov@vector.nsc.ru
ORCID iD: 0000-0003-3340-8750
PhD (Biology), Head of Department «Collection of microorganisms»
Russian Federation, 630559, Koltsovo, Novosibirsk RegionVladimir V. Omigov
State Research Center of Virology and Biotechnology “Vector” of Rospotrebnadzor
Email: omigov_vv@vector.nsc.ru
ORCID iD: 0000-0002-2028-6099
MD, Leading Researcher, Department of microscopic research
Russian Federation, 630559, Koltsovo, Novosibirsk RegionOleg S. Taranov
State Research Center of Virology and Biotechnology “Vector” of Rospotrebnadzor
Email: taranov_os@vector.nsc.ru
ORCID iD: 0000-0002-6746-8092
Head of Department of microscopic research
Russian Federation, 630559, Koltsovo, Novosibirsk RegionTamara V. Teplyakova
State Research Center of Virology and Biotechnology “Vector” of Rospotrebnadzor
Email: teplyakova_tv@vector.nsc.ru
ORCID iD: 0000-0003-4754-5051
Doctor of sciences (Biology), Professor, Head of Laboratory of Mycology, Department of Biophysics and Environmental Research
Russian Federation, 630559, Koltsovo, Novosibirsk RegionReferences
- Zhu N., Zhang D., Wang W., Li X., Yang B., Song J., et al. Novel Coronavirus Investigating and Research Team, A novel coronavirus from patients with pneumonia in China, 2019. N. Engl. J. Med. 2020; 382(8): 727–33. https://doi.org/10.1056/NEJMoa2001017
- Zhang B., Zhou X., Qiu Y., Song Y., Feng F., Feng J., et al. Clinical characteristics of 82 death cases with COVID-19. PLoS One. 2020; 15(7): e0235458. https://doi.org/10.1371/journal.pone.0235458
- Tay M.Z., Poh C.M., Rénia L., MacAry P.A., Ng L.F.P. The trinity of COVID-19: Immunity, inflammation and intervention. Nat. Rev. Immunol. 2020; 20(6): 363–74. https://doi.org/10.1038/s41577-020-0311-8.4
- WHO. Coronavirus disease (COVID-19) dashboard; 2023. Available at: https://covid19.who.int
- Akimkin V.G., Semenenko T.A., Ugleva S.V., Dubodelov D.V., Kuzin S.N., Yatsyshina S.B., et al. COVID-19 in Russia: epidemiology and molecular genetic monitoring. Vestnik Rossiyskoy akademii meditsinskikh nauk. 2022; 77(4); 254–60. EDN: https://elibrary.ru/dozijs https://doi.org/10.15690/vramn2121 (in Russian)
- Kiseleva I.V., Larionova N.V., Grigor’eva E.P., Ksenafontov A.D., Al’ Farrukh M.A., Rudenko L.G. Salient features of circulating respiratory viruses in the pre- and pandemic influenza and COVID-19 seasons. Infektsiya i immunitet. 2021; 11(6): 1009–19. EDN: https://elibrary.ru/higkam https://doi.org/10.15789/2220-7619-SFO-1662 (in Russian)
- Bimonte S., Crispo A., Amore A., Celentano E., Cuomo A., Cascella M. Potential antiviral drugs for SARS-Cov-2 treatment: preclinical findings and ongoing clinical research. In Vivo. 2020; 34(3 Suppl.): 1597–602. https://doi.org/10.21873/invivo.11949
- Hamza A., Ghanekar S., Kumar D.S. Current trends in health-promoting potential and biomaterial applications of edible mushrooms for human wellness. Food Biosci. 2022; 51: 102290. https://doi.org/10.1016/j.fbio.2022.102290
- Teplyakova T.V., Kosogova T.A. Higher Mushrooms of Western Siberia as Promising Objects for Drug Biotechnology [Vysshie griby Zapadnoy Sibiri – perspektivnye ob”ekty dlya biotekhnologii lekarstvennykh preparatov]. Novosibirsk; 2014. (in Russian)
- Martel J., Ko Y.F., Ojcius D.M., Lu C.C., Chang C.J., Lin C.S., et al. Immunomodulatory properties of plants and mushrooms. Trends Pharmacol. Sci. 2017; 38(11): 967–81. https://doi.org/10.1016/j.tips.2017.07.006
- Lu Y., Jia Y., Xue Z., Li N., Liu J., Chen H. Recent developments in Inonotus obliquus (Chaga mushroom) polysaccharides: Isolation, structural characteristics, biological activities and application. Polymers. 2021; 13(9): 1441. https://doi.org/10.3390/polym13091441
- Pan H.H., Yu X.T., Li T., Wu H.L., Jiao C.W., Cai M.H., et al. Aqueous extract from a Chaga medicinal mushroom, Inonotus obliquus (higher basidiomycetes), prevents herpes simplex virus entry through inhibition of viral-induced membrane fusion. Int. J. Med. Mushrooms. 2013; 15(1): 29–38. https://doi.org/10.1615/intjmedmushr.v15.i1.40
- Nosik D.N., Nosik N.N., Teplyakova T.V., Lobach O.A., Kiseleva I.A., Kondrashina N.G., et al. Antiviral activity of extracts of basidiomycetes and humic compounds substances against human immunodeficiency virus (Retroviridae: Orthoretrovirinae: Lentivirus: Human immunodeficiency virus 1) and herpes simplex virus (Herpesviridae: Simplexvirus: Human alphaherpesvirus 1). Voprosy virusologii. 2020; 65(5): 276–83. https://doi.org/10.36233/0507-4088-2020-65-5-4 EDN: https://elibrary.ru/hfbppn (in Russian)
- Teplyakova T.V., Ilyicheva T.N., Markovich N.A. Prospects for the development of anti-influenza drugs based on medicinal mushrooms (review). Appl. Biochem. Microbiol. 2020; 56(5): 489–96. https://doi.org/10.1134/S0003683820050142 EDN: https://elibrary.ru/bggpif
- Garber A., Barnard L., Pickrell C. Review of whole plant extracts with activity against herpes simplex viruses in vitro and in vivo. J. Evid. Based. Integr. Med. 2021; 26: 2515690X20978394. https://doi.org/10.1177/2515690X20978394
- Chun S., Gopal J., Muthu M. Antioxidant activity of mushroom extracts/polysaccharides—Their antiviral properties and plausible antiCOVID-19 properties. Antioxidants. 2021; 10(12): 1899. https://doi.org/10.3390/antiox10121899
- Eid J.I., Das B., Al-Tuwaijri M.M., Basal W.T. Targeting SARS-CoV-2 with Chaga mushroom: An in silico study toward developing a natural antiviral compound. Food Sci. Nutr. 2021; 9(12): 6513–23. https://doi.org/10.1002/fsn3.2576
- Arunachalam K., Sasidharan S.P., Yang X. A concise review of mushrooms antiviral and immunomodulatory properties that may combat against COVID-19. Food Chem. Adv. 2022; 1: 100023. https://doi.org/10.1016/j.focha.2022.100023
- Teplyakova T.V., Pyankov O.V., Safatov A.S., Ovchinnikova A.S., Kosogova T.A., Skarnovich M.O., et al. Water extract of the Chaga medicinal mushroom, Inonotus obliquus (Agaricomycetes), inhibits SARS-CoV-2 replication in vero E6 and vero cell culture experiments. Int. J. Med. Mushrooms. 2022; 24(2): 23–30. https://doi.org/10.1615/IntJMedMushrooms.2021042012
- Rockx B., Kuiken T., Herfst S., Bestebroer T., Lamers M.M., Oude Munnink B.B., et al. Comparative pathogenesis of COVID-19, MERS, and SARS in a nonhuman primate model. Science. 2020; 368(6494): 1012–5. https://doi.org/10.1126/science.abb7314
- Gu H., Chen Q., Yang G., He L., Fan H., Deng Y.Q., et al. Adaptation of SARS-CoV-2 in BALB/c mice for testing vaccine efficacy. Science. 2020; 369(6511): 1603–7. https://doi.org/10.1126/science.abc4730
- Teplyakova T.V., P’yankov O.V., Skarnovich M.O. Replication inhibitor SARS-CoV-2 based on a water extract of the fungus Inonotus obliquus. Patent RF № 2741714 C1; 2021. (in Russian)
- Reed L.J., Muench H. A simple method of estimating fifty per cent endpoints. Am. J. Hyg. 1938; 27(3): 493–7. https://doi.org/10.1093/oxfordjournals.aje.a118408
- FELASA recommendations for the health monitoring of mouse, rat, hamster, guinea pig and rabbit colonies in breeding and experimental units. Lab. Anim. 2014; 48(3): 178–92. https://doi.org/10.1177/0023677213516312
- Guide for the Care and Use of Laboratory Animals. Washington: National Academies Press; 2011. Available at: https://www.ncbi.nlm.nih.gov/books/NBK54050
- American Veterinary Medical Association. AVMA Guidelines for the Euthanasia of Animals: 2020 Edition. Available at: https://www.avma.org/sites/default/files/2020-02/Guidelines-on-Euthanasia-2020.pdf
- Mironov A.N., Bunatyan N.D., Vasil’ev A.N. Methodological Recommendations for the Study of the Specific Activity of Interferon Inducers [Rukovodstvo po provedeniyu doklinicheskikh issledovaniy lekarstvennykh sredstv]. Moscow: Grif & K; 2012. (in Russian)
- Razumov I.A., Kazachinskaya E.I., Puchkova L.I., Kosogova T.A., Gorbunova I.A., Loktev V.B., et al. Protective activity of aqueous extracts from higher mushrooms against herpes sipmlex virus type-2 on albino mice model. Antibiotiki i khimioterapiya. 2013; 58(9-10): 8–12. EDN: https://elibrary.ru/nfgiex (in Russian)
- Basal W.T., Elfiky A., Eid J. Chaga medicinal mushroom Inonotus obliquus (Agaricomycetes) terpenoids may interfere with SARS-CoV-2 spike protein recognition of the host cell: a molecular docking study. Int. J. Med. Mushrooms. 2021; 23(3): 1–14. https://doi.org/10.1615/IntJMedMushrooms.2021037942
- Zhou H., Møhlenberg M., Thakor J.C., Tuli H.S., Wang P., Assaraf Y.G., et al. Sensitivity to vaccines, therapeutic antibodies, and viral entry inhibitors and advances to counter the SARS-CoV-2 Omicron variant. Clin. Microbiol. Rev. 2022; 35(3): e00014–22. https://doi.org/10.1128/cmr.00014-22
- Shipovalov A.V., Kudrov G.A., Tomilov A.A., Bodnev S.A., Boldyrev N.D., Ovchinnikova A.S., et al. Susceptibility to SARS-COV-2 virus variants of concern in mouse models. Problemy osobo opasnykh infektsiy. 2022; (1): 148–55. https://doi.org/10.21055/0370-1069-2022-1-148-155 (in Russian)
- Zhang Y.N., Zhang Z.R., Zhang H.Q., Li N., Zhang Q.Y., Li X.D., et al. Different pathogenesis of SARS-CoV-2 Omicron variant in wild-type laboratory mice and hamsters. Signal Transduct. Target. Ther. 2022; 7(1): 62. https://doi.org/10.1038/s41392-022-00930-2
- Halfmann P.J., Iida S., Iwatsuki-Horimoto K., Maemura T., Kiso M., Scheaffer S.M., et al. SARS-CoV-2 Omicron virus causes attenuated disease in mice and hamsters. Nature. 2022; 603(7902): 687–92. https://doi.org/10.1038/s41586-022-04441-6
Supplementary files





