Identification regulatory noncoding RNAs of human papilloma virus type 16 (Papillomaviridae: Alphapapillomavirus: Human papillomavirus) in cervical tumors
- Authors: Kisseljova N.P.1, Fedorova M.D.1, Zaikina A.E.1, Elkina N.V.1, Goldobina E.E.1, Elkin D.S.1, Abramov P.M.1, Pavlova L.S.1, Vinokurova S.V.1
-
Affiliations:
- FSBI «National Medical Research Center of Oncology named after N.N. Blokhin» of the Ministry of Health of Russia
- Issue: Vol 67, No 3 (2022)
- Pages: 217-225
- Section: ORIGINAL RESEARCHES
- URL: https://virusjour.crie.ru/jour/article/view/602
- DOI: https://doi.org/10.36233/0507-4088-108
- ID: 602
Cite item
Abstract
Introduction. High carcinogenic-risk human papillomaviruses (hrHPVs) are recognized as etiological agents of cervical cancer. Constant expression of the viral oncoproteins, E6 and E7, is required for maintenance of the malignant phenotype of tumor cells. The exact mechanism of regulation of viral oncogenes expression in tumor cells is not fully elucidated.
The purpose: identification of viral noncoding RNAs (ncRNAs) in HPV16-positve cervical cancer.
Materials and methods. The reverse transcription polymerase chain reactions were used to detect viral ncRNAs in HPV16-positve primary cervical squamous cell carcinomas and SiHa and CasKi cell lines. The knockdown technique with oligonucleotides complementary to ncRNAs was used to elucidate their functions.
Results. We have identified ncRNAs transcribed in the upstream regulatory region of HPV16 in the cervical carcinoma cell lines and in 32 out 32 cervical squamous cell carcinomas with episomal or integrated forms of HPV16 DNA. Knockdown of sense or antisense strains of ncRNAs by oligonucleotides results in a decrease or increase of the E6 and E7 oncogenes mRNA levels in cells, respectively. These changes of oncogenes mRNA levels are accompanied by the modulation of the levels of the p53 protein, the main target of the E6 oncoprotein.
Conclusion. The presence of regulatory ncRNAs in all examined tumors and cell lines revealed for the first time indicates their necessity for maintenance of constant expression of E6 and E7 oncogenes in them. The findings can be useful for understanding of the fundamental aspects of the viral expression regulation in HPV16-positive tumors.
Full Text
Introduction
Infection with human papillomaviruses is one of the most common in the world [1]. HPVs of high-carcinogenic risk (hrHPVs) are considered to be the etiological agents of the majority of tumors of the cervix, subset of the tumors of the vagina, vulva, anus, penis, and oropharynx. About 70% of hrHPV-associated tumors are caused by HPV types 16, 18 [2, 3]. Cervical cancer has a viral etiology in more than 95% of cases and is the second most common cause of death in women in the world [3]. Despite the fact that several preventive vaccines against HPV infection are currently certified, the study of HPV remains a crucial task due to the following circumstances: 1) existing vaccines have been developed against not all types of hrHPV; 2) vaccines prevent HPV infection, but are not curative for infected patients and tumor carriers; 3) there are no effective medication methods for treating HPV infection, the elimination of which is the basis for the prevention of HPV-associated tumors.
The HPV genome is presented by circular double-stranded DNA. DNA encodes early (E) and late (L) genes whose the order and levels of expression are tightly regulated in a productive life cycle. Protein products of two genes, E6 and E7, interacting with regulators of the cell cycle, play a key role in the provision of the viral genomes amplification in differentiating epithelial cells and in the cell cycle deregulation during malignant transformation [4]. It has been shown in primary cultures of cervical carcinomas and in cell lines that constant expression of the E6 and E7 oncogenes is necessary for the maintenance of the transformed cell phenotype. Suppression of E6 and E7 expression by various methods leads to cancer cell aging and/or activation of apoptosis in them [5–8]. In this regard, studies of the mechanisms that regulate the expression of the E6 and E7 oncogenes are important for understanding the mechanisms of malignant transformation and search of antitumor therapy targets.
Currently it is known that up to 99% of the mammalian genome is transcribed in different cells forming short and long noncoding RNAs (ncRNAs) that lack of open reading frames. In addition to well-known housekeeping ncRNAs (transfer RNAs, ribosomal RNAs, telomerase RNA, etc.) regulatory ncRNAs that are involved in the regulation of different cell processes, including epigenetic control, gene transcription and translation, have been identified [9]. Since viruses use cellular systems for transcription, processing, and functioning of their mRNAs, it is obvious that viral noncoding RNAs could also exist. This suggestion is currently confirmed for two oncogenic viruses, EBV (Herpesviridae: Gammaherpesvirinae: Lymphocryptovirus: Human gammaherpesvirus 4) and KSHV (Herpesviridae: Gammaherpesvirinae: Rhadinovirus: Human gammaherpesvirus 8). Viral ncRNAs are transcribed from polymerase III or polymerase II promoters and some can be polyadenylated [10, 11]. ncRNAs of these viruses play significant roles in viral genes transcription regulation, viral life cycles and pathogenesis (including cancer).
In this study, the sense and antisense transcripts overlapping nearly 600 bp of the HPV16 upstream regulatory region (URR) were identified in cervical carcinoma cell lines and primary tumors. These transcripts take part in regulation of E6 and E7 oncogenes expression. There are no published data that viral noncoding RNAs are present in hrHPV-associated tumors.
Materials and methods
Clinical samples
Samples of squamous cell carcinomas (SCC) of the cervix were obtained in the pathology department, from patients attending the N.N. Blokhin National Medical Research Center of Oncology under the approval of the Ethical Board of the Center. The physical state of the HPV16 genomes was determined using the APOT (amplification of papillomavirus oncogene transcripts), the assay that differentiates episome-derived transcripts from integrated-derived transcripts of HPV early genes. The presence of HPV episomes in samples was confirmed by PCR with the primers specific to full-size E1 and E2 genes [12, 13].
Cell lines
The human cervical cancer cell lines SiHa and CasKi (American Type Culture Collection, Rockville, MD, USA) were cultured in DMEM with 10% fetal bovine serum (FBS), penicillin, streptomycin, and L-glutamine in a CO2 incubator at 5% CO2 and 37°C. The SiHa cells contain the genome of HPV16 integrated into the cell genome (2 copies per cell) [14]. The CasKi cells contain more than 600 copies of the HPV16 genome integrated at 11 sites of different chromosomes in the form of head-to-tail tandem repeats [15].
RNA isolation
Total RNA was isolated from frozen tumor tissues using the PureLink RNA Mini Kit (Thermo Fisher Scientific, USA) according to the company’s protocol. The concentration of total RNA was determined by RNA-specific fluorescence on a Qubit 2.0 fluorometer (Invitrogen, USA).
Reverse transcription polymerase chain reaction (RT-PCR)
To eliminate possible DNA contamination total RNA was treated with DNase (Deoxyribonuclease I Amplification Grade, Invitrogen, USA) as recommended by the supplier. RNA was reverse transcribed (RT reaction) using random hexamers (Litex, RF) or Random (10) (Evrogen, RF) and the reverse transcriptase (Super Script III RT, Invitrogen, USA) according to the protocol of the suppliers. To control the complete removal of DNA, a reaction was carried out without adding reverse transcriptase for each RNA sample in parallel (−RT reaction). To analyze the direction of transcription, the RT reaction was carried out with primers specific to 1) sense strand R1 – 5’-GGT TGA AGC TAC AAA ATG G (7,452 bp); R2 – 5’-AGT GCA GTG TAA AAA ACA ATG G (7,617 bp), and 2) antisense strand F1 – 5’-AGT TTT CTG CAG ACC TAG ATC AG (6,997 bp), F2 – 5’ CCT ACT AAT TGT GTT GTG GTT A (7,340 bp). Primers positions here and further are indicated according to HPV16 AF125673 (GenBank). To control the self-priming of RNA (the ability of RTases to initiate cDNA synthesis in the absence of exogenous primers from the double-stranded RNA structure formed at the 3’ end [16]), the additional reactions were carried out without adding a primer. If RNA self-priming was detected, to prevent the amplification of such cDNA in PCR, a sequence-specific primer combined with an adapter (3’-TGC TAC AGC TGA GCT CAG G-5’) at the 5’-end was used in RT reaction and the adapter as a reverse primer was used in PCR.
The quality and quantity of cDNA were evaluated using PCR with primers to the «housekeeping genes»: HPRT F – 5’-CTG GAT TAC ATC AAA GCA CTG; R – 5’-GGA TTA TAC TGC CTG ACC AAG (Тan 60°С); GAPDH F – 5’-ACC AGC CCC AGC AAG AGC ACA AG; R – 5’-TTC AAG GGG TCT ACA TGG CAA CTG (Тan 60°С); β-globine F – 5’-GGT TGG CCA ATC TAC TCC CAG G; R – 5’-CCA CTT CAT CCA CGT TCA CC (Тan 55°С). The composition of HPV-specific primers for all regions of URR and PCR conditions are available on request. Virus-specific PCR products were analyzed by agarose gel electrophoresis, purified and sequenced to confirm their identity.
Determination of the number of ncRNA copies
The number of copies of HPV 16 transcripts in two regions (URR 7,340–7,452 bp and early genes (99–226 bp) was determined by real-time RT PCR, using cDNA synthesized with random primers and primers and probes for PCR as follows:
for URR 7,340–7,452 bp, F – 5’-CCT ACT AAT TGT GTT GTG GTT A,
R – 5’-GGT TGA AGC TAC AAA ATG G,
TaqMan probe FAM-ACT ATA TTT GCT ACA TCC TGT TTT TGT-BHQ1, Тan 54°С;
for HPV early genes region 99–226 bp, F – 5’-CTG CAA TGT TTC AGG ACC CAC-3’,
R – 5’ CTC CAC GTC GCA GTA ACT GTT G-3’,
TaqMan probe FAM-ACT TGT ACG TTT CCT GCT TGC CAT-BHQ1, Тan 63°С.
The copy number of two types of transcripts in a sample was determined in triplicates using the standard curves constructed for each experiment with serial dilutions of DNA of SiHa cells (2 copies of the HPV16 genome per cell) [14]. The number of HPV16 specific copies was calculated per 1 ng of initial total RNA.
Transfection of cells with oligonucleotides
Oligonucleotides (ONs) were transfected with siLentFect Lipid Reagent (Bio-Rad Laboratories, USA) during 48 h according to protocol suggested by the manufacturer. It is known, that ONs function effectively through endogenous RNA interference pathways [17]. Cocktails of 4 ONs complementary to the sense or antisense strands were separately transfected in three independent experiments with 3 repeats in each of them. Nucleotide sequences and positions of ONs in the HPV16 genome were as follows:
7331s – 5’-GUU UCA ACA CCU ACU AAU UGU;
7331as – 5’-ACA AUU AGU AGG UGU UGA AAC;
7548s – 5’-AUG CGU GCC AAA UCC CUG UUU;
7548as – 5’-AAA CAG GGA UUU GGC ACG CAU;
7500s – 5’-GUU CUA UGU CAG CAA CUA UA;
7500as – 5’-UAU AGU UGC UGA CAU AGA AC;
7583s – 5’-GCU UGC CAA CCA UUC CAU UGU U;
7583as – 5’-AAC AAU GGA AUG GUU GGC AAG C;
s – oligonucleotide is a copy of the sense chain, and the as – oligonucleotide is a copy of the antisense chain.
Western blot
Proteins were extracted using a RIPA buffer with the EDTA-free Protease Inhibitor Cocktail (Roche, Germany). Protein lysates were resolved on a 7% PAGE/SDS and were transferred onto Hybond-ECL nitrocellulose membrane (GE Healthcare/Life Sciences, USA) using a Trans-Blot Turbo Transfer System (Bio-Rad Laboratories, USA). The membrane was blocked in 5% skim milk in TBST buffer for 1 hr at room temperature, was incubated with p53 monoclonal antibodies at a titer of 1 : 200 (DO-1, MA5-12571, ThermoFisher Scientific, USA) at 4°C overnight or with GAPDH loading control antibodies (GA1R, MA5-15738, ThermoFisher Scientific, USA) at a titer of 1 : 5,000, and then was probed with secondary goat antibodies to mouse immunoglobulins conjugated to horseradish peroxidase (Bio-Rad Laboratories, USA) at a titer of 1:5,000 for 2 hrs. The protein bands were visualized with Clarity™ Western ECL Substrate (Bio-Rad Laboratories, USA) according to the manufacturer’s instructions.
Results
Analysis of RNA transcribed in the HPV16 URR
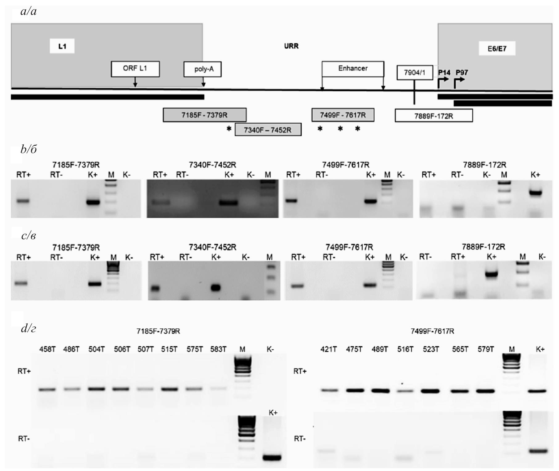
The search for ncRNA was carried out by reverse transcription followed by PCR (RT-PCR) in the URR (Fig. 1 a).
The URR contains early genes promoter, the enhancer, the origin of replication, the site polyadenylation for late genes, recognition sites for both cellular and viral transcription factors and does not contain open reading frames for proteins [18]. To search for potential ncRNAs, we used two cell lines of cervical SCC, SiHa and CasKi, which harbor HPV16 DNAs integrated in cell genome [14, 15]. Given that the number of copies of known ncRNAs per cell is much lower than that of mRNAs and not all of them have polyadenilation signal not oligo-dT primers but random ones are used for the synthesis of cDNA in these experiments [19]. After cDNA synthesis from total RNA in the RT reaction, a series of PCRs was performed in such a way that the PCR products covered the entire URR and part of the adjacent reading frames for the late L1 gene and early genes (including the oncogenes E6 and E7). PCR products were found throughout the URR (Fig. 1 b, c). The results indicate the existence of transcripts in this HPV16 region in both cell lines. The detected transcripts are not physically connected with mRNA of early genes, as evidenced by the absence of PCR products in the region 7,889–172 bp. Thus, transcripts were found in HPV16 URR.
Fig. 1. Analysis of transcription in the HPV 16 URR by RT-PCR. a: solid line – scheme of the HPV16 URR, located between the late gene L1 and the early genes E6/E7; the positions of the oligonucleotides used for knockdown ncRNAs are marked with asterisks; broken arrows – the start of transcription of early genes [13]; vertical line – the beginning (1 bp) and end (7,904 bp) points of the nucleotide count in the HPV16 circular genome; ORF L1 – the end of the open reading frame of the L1 viral protein; polyA – the signal of polyadenylation of late genes. The black rectangles under solid line – transcripts of early and late genes; gray rectangles – RT-PCR products were detected; white rectangles – RT-PCR products were absent; the numbers inside the rectangles – the positions of forward (F) and reverse (R) primers (bp) according to the HPV16 AF125673 (GenBank) sequence; b–d – electrophoregrams of PCR products: b – SiHa cells; c – CasKi cells; d – cervical tumors. [RT+] and [RT−] – cDNA synthesis was performed in the presence and absence of reverse transcriptase, respectively; [K+] – PCR with HPV16 DNA (positive control for PCR); [K−] – H2O instead of the DNA (control for contamination of PCR reagents); M – 100 bp ladder.
Рис. 1. Анализ транскрипции в районе URR ВПЧ16 методом ОТ-ПЦР. а: сплошная линия – схема URR ВПЧ16, расположенного между поздним геном L1 и ранними генами E6/Е7; позиции олигонуклеотидов, использованных для нокдауна нкРНК, обозначены звёздочками; изогнутые стрелки – старты транскрипции ранних генов [13]; вертикальная черта – точка начала (1 п.н.) и конца отсчёта (7904 п.н.) нуклеотидов в кольцевом геноме ВПЧ16; ORF L1 – конец рамки считывания вирусного белка L1; polyA – сигнал полиаденилирования РНК поздних генов; чёрные прямоугольники под сплошной линией – транскрипты поздних и ранних генов; серые прямоугольники – продукты ОТ-ПЦР обнаружены; белые прямоугольники – продукты ОТ-ПЦР отсутствуют; цифры внутри прямоугольников – позиции прямого (F) и обратного (R) праймеров (п.н.) согласно сиквенсу ВПЧ16 AF125673 (GenBank); б–д – электрофореграммы продуктов ПЦР: б – клетки SiHa; в – клетки CasKi; г – клетки опухоли шейки матки. [RT+] и [RT−] – синтез кДНК проведён в присутствии и отсутствии обратной транскриптазы соответственно; [К+] – ПЦР с ДНК ВПЧ16 (позитивный контроль ПЦР); [К−] – Н2О вместо ДНК-матрицы (контроль на контаминацию реактивов ПЦР); М – маркер, 100 п.н.
Analysis of the direction of transcription in the HPV16 URR
The HPV16 URR contains an enhancer (position 7529–7752 bp) [20]. It is known that a number of enhancers are characterized by transcription of ncRNA in two directions [21]. In this regard, the direction of transcription in the URR of SiHa cells was investigated. The cDNA synthesis was carried out with virus-specific primers complementary to the sense or antisense DNA strand for this purpose. The primers were located in two different regions of the URR to increase the sensitivity of the analysis, given the low copy number of the putative ncRNAs (Fig. 2).
As follows from the results presented in Figs. 2 b and c, there are both the sense and antisense transcripts in the URR from 6997 up to 7617 bp. The starts of transcription are located between 6947 and 6997 bp for the sense strand, and between 7617 and 7709 bp for the antisense strand. Thus, the lengths of transcripts are at least 620 bp, and therefore, these ncRNAs may be classified as long noncoding RNAs (lncRNAs). These data confirm the absence of a physical connection between the URR transcripts and mRNAs of late and early genes. Thus, bidirectional transcription has been shown in the HPV16 URR region.
Fig. 2. Analysis of the transcription direction in the HPV16 URR of SiHa cells by RT-PCR. a: the solid line is a scheme of the HPV16 URR, designations like in legend of Fig. 1 a. F1, F2 and R1, R2 are gene-specific primers for cDNA synthesis on the antisense and sense chains, respectively; b, c – analysis of the products of RT-PCR by electrophoresis in agarose gel. [RT+] and [RT−] – cDNA synthesis was performed in the presence and absence of reverse transcriptase, respectively; [K+] – PCR with DNA of SiHа (positive control for PCR); [K−] – H2O instead of cDNA (control for contamination of PCR reagents); [Pr−] – cDNA synthesis was performed without primers (control for RNA self-priming), adaptor – see «Material and methods»; numbers are the positions of all elements (bp) according to the HPV16 AF125673 (GenBank) sequence; M – marker, 100 bp ladder. The oval indicates the position of the PCR product in the gel.
Рис. 2. Анализ направления транскрипции в URR ВПЧ16 методом ОТ-ПЦР в клетках SiHa. а: сплошная линия – схема URR ВПЧ16, обозначения как в подписи к рис. 1, а. F1, F2 и R1, R2 – генспецифические праймеры для синтеза кДНК с антисмысловой и смысловой цепей соответственно; б, в – анализ продуктов ОТ-ПЦР методом электрофореза в агарозном геле. [RT+] и [RT−] – синтез кДНК проведён в присутствии и отсутствии обратной транскриптазы соответственно; [К+] – ПЦР с ДНК SiHа (позитивный контроль ПЦР); [К−] – Н2О вместо ДНК-матрицы (контроль на контаминацию реактивов ПЦР); [Pr−] – ПЦР без праймеров (контроль на самопраймирование РНК), адаптор – см. раздел «Материалы и методы»; цифры – позиции всех элементов в п.н. согласно сиквенсу ВПЧ16 AF125673 (GenBank); М – маркер, 100 п.н. Овал указывает позицию продукта ПЦР в геле.
Regulation of the expression of HPV16 early genes by noncoding RNAs
To elucidate the functions of ncRNA, the knockdown technique was used – the suppression of transcripts at the posttranscriptional level by transfection of ONs complementary to the sense or antisense strands of ncRNAs [17]. The ONs positions used for knockdown are marked with asterisks (Fig. 1 a). First, the significant decrease in the total level of the ncRNAs by 40–50% was determined in SiHa cells after transient transfections with cocktails of ONs complementary to each of the strands (Fig. 3 c).
Fig. 3. Effect of ncRNA knockdown on the expression and activity of early HPV 16 genes in SiHa cells. a: the solid line is a scheme of the HPV16 early genes region (designations like in legend of Fig. 1); mRNA splicing variants are indicated by a bold line for exons and a thin line for introns, the coding potential of each variant is indicated on the right; the small gray rectangle – the position of examined mRNA region; numbers are the positions of all elements (bp) according to the HPV16 AF125673 (GenBank) sequence; S – transfection with the cocktail of oligonucleotides complementary to the sense chain of ncRNA; AS – transfection with the cocktail of oligonucleotides complementary to the antisense chain of ncRNA; Control – transfection without the addition of oligonucleotides, cDNA synthesized with hexamers; b, c – HPV16 RNA levels normalized regarding to the mRNA of the HPRT gene are indicated on the ordinate axis; b – the mRNA levels of the early genes; c – the levels of ncRNA. Statistical data – a paired t-test (the GraphPad Prism program, v.7.00); d – western blot analysis of p53 expression in cells. А typical transfection result is presented. GAPDH is a control of protein loading; the numbers over the blots indicate normalized p53 protein levels in relation to the control as percentage (calculated by Image Studio Lite Software, v.5.2.).
Рис. 3. Влияние нокдауна нкРНК на уровень мРНК и активность ранних генов ВПЧ16 в клетках SiHa. а: сплошная линия – схема участка генома ВПЧ16 с ранними генами (обозначения как в подписи к рис. 1); варианты сплайсинга мРНК обозначены жирной чертой для экзонов, тонкой чертой для интронов, справа обзначен кодирующий потенциал каждого варианта; малый серый прямоугольник – позиция исследуемого района мРНК; цифры – позиции всех элементов в п.н. согласно сиквенсу ВПЧ16 AF125673 (GenBank); S – трансфекция коктейлями олигонуклеотидов, комплементарными к смысловой цепи нкРНК; АS – трансфекция коктейлями олигонуклеотидов, комплементарными к антисмысловой цепи нкРНК; К – трансфекция без добавления олигонуклеотидов, кДНК синтезирована с гексапраймерами; б, в – на оси ординат указаны уровни РНК ВПЧ16, нормализованные по отношению к мРНК гена HPRT; б – уровень мРНК суммарного транскрипта ранних генов; в – уровень нкРНК. Статистическая обработка данных проведена в программе GraphPad Prism v.7.00 с помощью парного t-теста; г – анализ экспрессии р53 методом вестерн-блоттинга. Представлен типичный результат трансфекции. GAPDH – контроль белковой нагрузки; цифры над блоттом – нормализованные уровни белка р53 по отношению к контролю в процентах (рассчитано по программе Image Studio Lite v.5.2.).
Further, the mRNA levels of early genes were determined (Fig. 3 a, b). Transfection of the ONs complementary to the antisense transcripts results in a statistically significant increase in the number of E6/E7 transcripts in cells, i.e., it can be assumed that the URR antisense transcript is a negative regulator of mRNA levels of early genes. When the ONs complementary to the sense transcript were transfected in cells, a decrease in the level of E6/E7 transcripts was revealed, suggesting that the sense transcript is a positive regulator of the expression of early genes. Thus, it has been shown that noncoding RNAs transcribed in URR are involved in the regulation of the mRNA levels of early HPV16 genes (including E6 and E7 oncogenes).
Next, to confirm that knockdown of ncRNAs with ON leads not only to the change of expression but also affects the viral oncoproteins activity, the p53 protein status has been evaluated in ON-transfected SiHa cells. The p53 protein is one of the key tumor suppressors and the cell cycle inhibitors in mammalian cells and the main target of the E6 oncoproteins. Binding of E6 to p53 leads to p53 proteasomal degradation [22], on the contrary E6 silencing induces accumulation of cellular p53 and reactivation of the dormant tumor suppressor pathway [5].
Knockdown of the sense URR transcripts that results in down-regulation of E6/E7 transcription is accompanied by an increase in the levels of p53 protein (Fig. 3 d). Knockdown of the antisense URR transcripts and activation of E6/E7 transcription reduces the p53 protein level. These results demonstrate that treatment of cells with ONs complementary either to the sense or antisense URR transcripts induces the expected changes in the levels of cellular target of viral oncogene.
The data indicate that noncoding RNAs transcribed in the HPV16 URR participate in the regulation of E6 and E7 expression.
Detection of HPV16 ncRNAs in clinical samples of SCC
The HPV16 genome is integrated into the cell genome in the SiHa and CasKi cells that reflects only one of the variants of the physical state of the viral genome in tumors. HPV DNA can be present in three forms in tumor cells: 1) integrative, 2) episomal, and 3) mixed [23]. The viral genome is influenced by the integration site (active or inactive chromatin, formation of chimeric transcripts using promoters and polyadenylation signals of cellular genes, etc.). In this regard, URR transcription was studied in clinical samples of SCC of the cervix with a known physical state of HPV16 DNA (Fig. 1 d, the typical results of RT-PCR for two different URR sites are presented). URR transcripts were detected in 32 out of the 32 samples of SCC, regardless of the forms of HPV16 DNA persistence (Table).
Table. Analysis of HPV16 ncRNAs expression in the cervical tumors by RT-PCR
Таблица. Анализ экспрессии нкРНК ВПЧ16 в образцах опухолей шейки матки методом ОТ-ПЦР
Form of HPV16 genome in a samples Форма генома ВПЧ 16 в образце | Number of samples Число образцов | Number of positive samples Число позитивных образцов |
Episomal Эписомальная | 17 | 17 |
Integrative Интегративная | 12 | 12 |
Mixed (episomal + integrative) Смешанная (эписомальная + интегративная) | 3 | 3 |
Total Всего | 32 | 32 (100%) |
Taking into account influence of sites of integration on viral genes expression and to confirm the simultaneous presence of E6/E7 ncRNAs and mRNA we quantified both types of RNAs on a small set of clinical samples by RT-PCR (Fig. 4).
Fig. 4. Analysis of the levels of ncRNAs and mRNAs of early HPV16 genes in cervical tumors. The ratio of mRNA copy number to the ncRNA copy number of is indicated on the ordinate axis. The number of copies of each RNA type per 1 ng of initial total RNA was calculated. Black, gray, and white rectangles represent samples with episomal, integrated, and mixed forms of viral DNA, respectively; the shaded rectangle is the SiHa cell line.
Рис. 4. Анализ уровней нкРНК и мРНК ранних генов ВПЧ16 в опухолях шейки матки. На оси ординат указано отношение числа копий мРНК к числу копий нкРНК. Количество копий каждого типа РНК рассчитано в 1 нг исходной тотальной РНК. Черные, серые и белые прямоугольники – образцы с эписомальной, интегративной и смешанной формой присутствия вирусной ДНК соответственно; заштрихованный прямоугольник – клеточная линия SiHa.
The levels of early genes mRNAs were determined in the region where all known transcripts with E6 and E7 coding potentials may be measured (Fig. 3 a). Simultaneous presence of both types of RNAs were revealed in all examined groups of tumors with episomal (4 samples), integrative (4 samples), and mixed (ep + int, 3 samples) forms of HPV16 DNA. The number of both transcripts varies widely from sample to sample, that, in particular, may be the result of different numbers of active DNA copies in the cells and different percentages of tumor cells in the samples. As expected, the number of transcript copies in the URR is tens and thousands of times less than that of the mRNA of early genes. The value of mRNA/ncRNA ratio is unique for each sample that indicates on independent regulation of expression of two regions of HPV16. Thus, the presence of HPV 16 ncRNA in primary cervical tumors was shown for the first time.
Discussion
This work has shown the existence of non-coding RNAs that are bidirectionally transcribed in the regulatory region of HPV16 in the cell lines and primary cervical carcinomas. The detected ncRNAs can modulate the expression levels and activity of HPV oncoproteins. Increased E6 and E7 expression compared to their expression in infected epithelium during the normal life cycle of HPV is necessary for the emergence and existence of a tumor [3]. The presence of ncRNAs not only in the cell lines, but also in all HPV16-positive clinical samples of cervical SCC, indicates their necessity for maintenance of E6 and E7 oncogenes expression and the existence of tumors. This is a natural feature of HPV16-positive tumors. Thus, for the first time the presence of hrHPV ncRNAs with regulatory function has been shown in primary cervical tumors.
In contrast to miRNAs, it has not yet been possible to identify the general mechanism of action of lncRNAs. It is known that lncRNAs can act through cis or trans mechanisms. Cis-acting lncRNAs regulate the gene expression of genes located close to their own transcription sites. Detection of ncRNAs in cervical SCC samples with an episomal form of HPV DNA persistence indicates their cis-acting potential in expression regulation. It can be assumed that ncRNAs function during the virus life cycle when only viral episome persists in cells to fine-tune the expression of early genes to the different stage of the epithelial cells differentiation [4]. The exact mechanism of action of HPV16 ncRNAs remains to be determined.
Recently, sense and antisense transcripts were determined in the URR HPV18 in cell cultures [24]. The authors showed that the sense transcript continues in the region of the E6 gene and, therefore, contains open reading frames for proteins and is a mRNA with a long untranslated region at the 5’ end. It was shown that this RNA are involved in the regulation of the levels of early HPV18 genes expression. The existence of low-copy mRNAs with a long 5’ untranslated sequence that overlaps the promoter was shown for cellular genes (NF-κB, cyclinD1, etc.) [25]. 5’ untranslated promoter-associated parts of these cellular mRNAs are necessary for epigenetic suppression of transcription of these genes, i.e., such a mechanism of transcription regulation exists in the eukaryotic cell. Thus, the two types of hrHPV are characterized by the presence of non-coding transcripts in the URR that have regulatory functions, but differ in the mechanisms of formation and, apparently, use different cellular mechanisms of transcription regulation. Studies on ncRNAs formation and activity may give novel insights on how these and other hrHPVs regulate infection and tumorigenesis.
Given the importance of the hrHPVs oncoprotein in tumorigenesis the detection of ncRNA may also have clinical implications. The presence of viral ncRNAs in cervical tumors suggests that they might be a target for the development of anti-viral therapies.
Contribution. Kisseljova N.P. – research concept and design, experiments, data analysis and interpretation, writing – original draft; Fedorova M.D. – experiments, monitoring, analyzing and presenting data; Zaykina A.E., Elkina N.V., Goldobina E.E., Elkin D.S., Abramov P.M. – experiments; Pavlova L.S. – collection of clinical material, analysis of case histories; Vinokurova S.V. – Supervision, Writing – review & editing.
Funding. This work was funded by the State budget and was supported by Russian Scientific Foundation (grant 15-15-00125).
Conflict of interest. The authors declare no conflict of interests.
Ethics approval. The research protocol was approved by the Ethics Committee of the FSBI N.N. Blokhin National Medical Research Center of Oncology of the Ministry of Health of Russian Federation (Protocol dated 27.01.2022).
About the authors
Natalia P. Kisseljova
FSBI «National Medical Research Center of Oncology named after N.N. Blokhin» of the Ministry of Health of Russia
Email: natalia-kis@yandex.ru
ORCID iD: 0000-0003-0236-4548
SPIN-code: 6117-0705
Scopus Author ID: 82913
PhD, principal researcher
Russian Federation, Kashirskoe shosse 24, Moscow, 115478Maria D. Fedorova
FSBI «National Medical Research Center of Oncology named after N.N. Blokhin» of the Ministry of Health of Russia
Email: fedorova_maria@inbox.ru
ORCID iD: 0000-0002-8813-7516
SPIN-code: 4943-5931
Scopus Author ID: 707781
PhD, senior researcher
Russian Federation, Kashirskoe shosse 24, Moscow, 115478Anastasia E. Zaikina
FSBI «National Medical Research Center of Oncology named after N.N. Blokhin» of the Ministry of Health of Russia
Email: minnegalieva_ae@mail.ru
ORCID iD: 0000-0002-7439-4212
research laboratory assistant
Russian Federation, Kashirskoe shosse 24, Moscow, 115478Nadezhda V. Elkina
FSBI «National Medical Research Center of Oncology named after N.N. Blokhin» of the Ministry of Health of Russia
Email: muuu222-222@mail.ru
ORCID iD: 0000-0002-0503-6016
SPIN-code: 2304-9710
Scopus Author ID: 975978
research laboratory assistant
Russian Federation, Kashirskoe shosse 24, Moscow, 115478Ekaterina E. Goldobina
FSBI «National Medical Research Center of Oncology named after N.N. Blokhin» of the Ministry of Health of Russia
Email: kegga@yandex.ru
ORCID iD: 0000-0003-4036-3415
research laboratory assistant
Russian Federation, Kashirskoe shosse 24, Moscow, 115478Danila S. Elkin
FSBI «National Medical Research Center of Oncology named after N.N. Blokhin» of the Ministry of Health of Russia
Email: yodanila@yandex.ru
ORCID iD: 0000-0002-4793-6063
SPIN-code: 9946-6863
Scopus Author ID: 1132390
Phd student
Russian Federation, Kashirskoe shosse 24, Moscow, 115478Pavel M. Abramov
FSBI «National Medical Research Center of Oncology named after N.N. Blokhin» of the Ministry of Health of Russia
Email: apmlol6@gmail.com
ORCID iD: 0000-0002-7995-3490
Phd student
Russian Federation, Kashirskoe shosse 24, Moscow, 115478Larisa S. Pavlova
FSBI «National Medical Research Center of Oncology named after N.N. Blokhin» of the Ministry of Health of Russia
Email: larisamama@bk.ru
ORCID iD: 0000-0003-3993-4823
Scopus Author ID: 173325
researcher
Russian Federation, Kashirskoe shosse 24, Moscow, 115478Svetlana V. Vinokurova
FSBI «National Medical Research Center of Oncology named after N.N. Blokhin» of the Ministry of Health of Russia
Author for correspondence.
Email: vinokourova@mail.ru
ORCID iD: 0000-0003-1615-3928
SPIN-code: 3453-4502
Scopus Author ID: 88396
PhD, chef of laboratory
Russian Federation, Kashirskoe shosse 24, Moscow, 115478References
- Forman D., de Martel C., Lacey C.J., Soerjomataram I., Lortet-Tieulent J., Bruni L., et al. Global burden of human papillomavirus and related. Vaccine. 2012; 30(Suppl. 5): F12–23. https://doi.org/10.1016/j.vaccine.2012.07.055
- Doorbar J., Egawa N., Griffin H., Kranjec C., Murakami I. Human papillomavirus molecular biology and disease association. Rev. Med. Virol. 2015; 25(Suppl. 1): 2–23. https://doi.org/10.1002/rmv.1822
- zur Hausen H. Papillomaviruses in the causation of human cancers – a brief historical account. Virology. 2009; 384(2): 260–5. https://doi.org/10.1016/j.virol.2008.11.046
- Fehrmann F., Laimins L.A. Human papillomaviruses: targeting differentiating epithelial cells for malignant transformation. Oncogene. 2003; 22(33): 5201–7. https://doi.org/10.1038/sj.onc.1206554
- Goodwin E.C., DiMaio D. Repression of human papillomavirus oncogenes in HeLa cervical carcinoma cells causes the orderly reactivation of dormant tumor suppressor pathways. Proc. Natl. Acad. Sci. USA. 2000; 97(23): 12513–8. https://doi.org/10.1073/pnas.97.23.12513
- Goodwin E.C., Yang E., Lee C.J., Lee H. W., DiMaio D., Hwang E.S. Rapid induction of senescence in human cervical carcinoma cells. Proc. Natl. Acad. Sci. USA. 2000; 97(20): 10978–83. https://doi.org/10.1073/pnas.97.20.10978
- Magaldia T.G., Almsteada L.L., Belloneb S., Prevatt E.G., Santin A.D., DiMaio D. Primary human cervical carcinoma cells require human papillomavirus E6 and E7 expression for ongoing proliferation. Virology. 2012; 422(1): 114–24. https://doi.org/10.1016/j.virol.2011.10.012
- Wells S.I., Francis D.A., Karpova A.Y., Dowhanick J.J., Benson J.D., Howley P.M. E2 induces senescence in HPV-positive cells via pRB- and p21CIP-dependent pathways. EMBO J. 2000; 19(21): 762–71. https://doi.org/10.1093/emboj/19.21.5762
- Prasanth K.V., Spector D.L. Eukaryotic regulatory RNAs: an answer to the ‘genome complexity’ conundrum. Genes Dev. 2007; 21(1): 11–42. https://doi.org/10.1101/gad.1484207
- Iwakiri D. Multifunctional non-coding Epstein–Barr virus encoded RNAs (EBERs) contribute to viral pathogenesis. Virus Res. 2016; 212: 30–8. https://doi.org/10.1016/j.virusres.2015.08.007
- Conrad N.K. New insights into the expression and functions of the Kaposi’s sarcoma-associated herpesvirus long noncoding PAN RNA. Virus Res. 2016; 212: 53–63. https://doi.org/10.1016/j.virusres.2015.06.012
- Klaes R., Woerner S.M., Ridder R., Wentzensen N., Duerst M., Schneider A., et al. Detection of high-risk cervical intraepithelial neoplasia and cervical cancer by amplification of transcripts derived from integrated papillomavirus oncogenes. Cancer Res. 1999; 59(24): 6132–6.
- Fedorova M., Vinokurova S., Pavlova L., Komel’kov A., Korolenkova L., Kisseljov F., et al. Human papillomavirus types 16 E1 mRNA is transcribed from P14 early promoter in cervical neoplasms. Virology. 2016; 488: 196–200. https://doi.org/10.1016/j.virol.2015.11.015
- Szuhai K.V., Bezrookove V., Wiegant J., Vrolijk J., Dirks R.W., Rosenberg C., et al. Simultaneous molecular karyotyping and mapping of viral DNA integration sites by 25-color COBRA-FISH. Genes Chromosomes Cancer. 2000; 28(1): 92–7. https://doi.org/10.1002/(sici)1098-2264(200005)28:1<92::aid-gcc11>3.0.co;2-2
- Meissner J.D. Nucleotide sequences and further characterization of human papillomavirus DNA present in the CaSki, SiHa and HeLa cervical carcinoma cell lines. J. Gen. Virol. 1999; 80(Pt. 7): 1725–33. https://doi.org/10.1099/0022-1317-80-7-1725
- Beiter T., Reich E., Weigert C., Niess A.M., Simon P. Sense or antisense? False priming reverse transcription controls are required for determining sequence orientation by reverse transcription–PCR. Anal. Biochem. 2007; 369(2): 258–61. https://doi.org/10.1016/j.ab.2007.06.044
- Matsui M., Prakash T.P., Corey D.R. Argonaute 2-dependent regulation of gene expression by single-stranded miRNA mimics. Mol. Ther. 2016; 24(5): 946–55. https://doi.org/10.1038/mt.2016.39
- Seedorf K., Krämmer G., Dürst M., Suhai S., Röwekamp W.G. Human papillomavirus type 16 DNA sequence. Virology. 1985; 145(1): 181–5. https://doi.org/10.1016/0042-6822(85)90214-4
- Patrushev L.I., Kovalenko T.F. Functions of noncoding sequences in mammalian genomes. Biochemistry (Mosc.). 2014; 79(13): 1442–69. https://doi.org/10.1134/S0006297914130021
- Cripe T.P., Haugen T.H., Turket J.P., Tabatabai F., Schmid P.G. 3rd, Dürst M., et al. Transcriptional regulation of the human papillomavirus-16 E6-E7 promoter by a keratinocyte-dependent enhancer, and by viral E2 trans-activator and repressor gene products: implications for cervical carcinogenesis. EMBO J. 1987; 6(12): 3745–53. https://doi.org/10.1002/j.1460-2075.1987.tb02709.x
- Melgar M.F., Collins F.S., Sethupathy P. Discovery of active enhancers through bidirectional expression of short transcripts. Genome Biol. 2011; 12(11): R113. https://doi.org/10.1186/gb-2011-12-11-r113
- Scheffner M., Huibregtse J.M., Vierstra R.D., Howley P.M. The HPV-16 E6 and E6-AP complex functions as a ubiquitin-protein ligase in the ubiquitination of p53. Cell. 1993; 75(3): 495–505. https://doi.org/10.1016/0092-8674(93)90384-3
- Melsheimer P., Vinokurova S., Wentzensen N., Bastert G., von Knebel Doeberitz M. DNA aneuploidy and integration of human papillomavirus type 16 E6/E7 oncogenes in intraepithelial neoplasia and invasive squamous cell carcinoma of the cervix uteri. Clin. Cancer Res. 2004; 10(9): 3059–63. https://doi.org/10.1158/1078-0432.ccr-03-0565
- Kassab M.A., Mudassir M., Singh A., Muthuraman N., Bhagat M., Palanichamy J.K., et al. Gene silencing and activation of human papillomavirus 18 is modulated by sense promoter associated RNA in bidirectionally transcribed long control region. PLoS One. 2015; 10(6): e0128416. https://doi.org/10.1371/journal.pone.0128416
- Han J., Kim D., Morris K.V. Promoter-associated RNA is required for RNA-directed transcriptional gene silencing in human cells. Proc. Natl. Acad. Sci. USA. 2007; 104(30): 12422–7. https://doi.org/10.1073/pnas.0701635104
Supplementary files







