Clinical symptoms and signs in hamsters during experimental infection with the SARS-CoV-2 virus (Coronaviridae: Betacoronavirus)
- Authors: Tuyskanova M.S.1,2, Zhugunissov K.D.1, Ozaslan M.3, Myrzakhmetova B.S.1, Kutumbetov L.B.1
-
Affiliations:
- Research Institute for Biological Safety Problems
- Al-Farabi Kazakh National University
- Gaziantep University
- Issue: Vol 68, No 6 (2023)
- Pages: 513-525
- Section: ORIGINAL RESEARCHES
- URL: https://virusjour.crie.ru/jour/article/view/16596
- DOI: https://doi.org/10.36233/0507-4088-202
- EDN: https://elibrary.ru/kivlek
- ID: 16596
Cite item
Full Text
Abstract
Introduction. At the beginning of December 2019, humanity has faced a new problem caused by coronavirus. In Hubei province of central China, epidemic events associated with severe primary viral pneumonia in humans began to develop. The isolated etiological agent was identified as a representative of Coronaviridae family. The global pandemic associated with the new coronavirus infection, acute respiratory syndrome type 2 (Severe acute respiratory syndrome 2, SARS-CoV-2), has become a challenge for humanity.
Objective. In our work, we assessed the replicative ability and pathogenesis of the SARS-CoV-2 virus in hamsters.
Materials and methods. Syrian hamsters (n=16) randomly divided into two groups were used in experiment. The first group was infected intranasally with the SARS-CoV-2 virus, strain SARS-CoV-2/human/KAZ/KZ_Almaty/2020 deposited in GenBank under number MZ379258.1. The second group remained as a control group. Clinical manifestations of the disease in hamsters were observed within 14 days. Samples were collected on days 3, 5, 7, 9, 12, and 14 postinfection. The obtained samples were tested for viral isolation in cell culture, histological examination and analysis of viral RNA by RT-PCR.
Results. SARS-CoV-2 virus isolates showed efficient replication in the lungs of hamsters, causing pathological lung lesions in animals infected intranasally. Clinical manifestations of the disease in hamsters infected with this virus were characterized by a decrease in temperature and body weight, wetness and ruffled fur, and frequent stroking of the nasal planum. High virus titers were observed following the virus isolation in cell cultures from nasal, oral swabs and lungs of animals infected intranasally. Pathological autopsy demonstrated pathological changes in the lungs. Moreover, transmission by airborne droplets has been established when a healthy hamster was kept together with animals infected using the intranasal method.
Conclusion. In conclusion, our study showed that the Syrian hamster model is a useful tool for studying the SARS-CoV-2 pathogenesis, as well as testing vaccine candidates against acute respiratory syndrome type 2.
Keywords
Full Text
Введение
В первой половине прошлого века были открыты первые представители семейства Coronaviridae [1, 2]. Коронавирус представлял серьезную проблему в ветеринарии, однако научное сообщество не относило его к особо опасным для человека эпидемическим вирусам. Коронавирусы стали проблемой для человека в 2002 г., когда коронавирус тяжелого острого респираторного синдрома (Severe acute respiratory syndrome-related coronavirus, SARS-CoV) был обнаружен в популяции людей [3–6]. Природным резервуаром этого коронавируса являлись летучие мыши (Chiroptera, Microchiroptera) [3, 7, 8], переносящие вирус инаппарантно, но выделяющие его со слюной, мочой и фекалиями [9]. Таким образом они заражали мелких млекопитающих, которые широко используются в пищу в странах Юго-Восточной Азии [9]. При эпидемии, вызванной SARS-CoV, летальность среди заболевших по всему миру составляла 9,6% [3–6, 10].
В начале декабря 2019 г. человечество столкнулось с новой проблемой, вызванной коронавирусом. В срединной китайской провинции Хубэй стали развиваться эпидемические события, способные вызывать в человеческой популяции тяжелые первичные вирусные пневмонии [11]. Изолированный этиологический агент был идентифицирован как представитель Coronaviridae [12]. Геном этого агента оказался гомологичен MERS-CoV на 50%, SARS-CoV на 79%, BtRsCoV на 88%. Впоследствии, учитывая особенности структуры генома, ему дали название коронавируса тяжелого острого респираторного синдрома 2-го типа (Severe acute respiratory syndrome coronavirus 2, SARS-CoV-2) [9, 13]. SARS-CoV-2 вызывает инфекционное заболевание, получившее название новая коронавирусная инфекция (COronaVIrus Disease 2019, COVID-19). Клиническое проявление вируса довольно широкое. COVID-19 на сегодняшний момент распространился на все страны мира и является глобальной пандемией с высоким уровнем летальных исходов. Пандемия нанесла колоссальный вред мировому здравоохранению и экономике [14–16]. В мире активно разрабатываются вакцины против коронавирусной инфекции 2-го типа [17]. Для проведения доклинических испытаний вакцины требуется подходящая биологическая модель животных, которые могут обеспечить последовательные и воспроизводимые результаты [18]. И, поскольку идеальная животная модель должна отражать клинические признаки, вирусную репликацию и патологию, наблюдаемую у человека, наличие и распределение вирусных рецепторов у нее должны быть сходными с таковыми у человека. Вирус должен воспроизводиться в отобранных видах животных, и должна существовать корреляция между вирусным титром и тяжестью болезни [19]. В связи с этим, с учетом анализа литературных источников, в настоящей работе использовали хомяков, поскольку именно эти животные являются одним из объектов исследования по SARS-CoV. В ряде публикаций сообщалось о поддержании репликации хомяков с коронавирусной инфекцией 1-го типа [20, 21]. Также результаты ранее проведенных исследования по SARS-CoV-2 показали [18], что исследуемый вирус способен к репликации в легких животного с высоким титром и сопутствующей патологией.
Цель исследования – изучить потенциальную животную модель для новой коронавирусной инфекции, с целью возможности дальнейшего использования в доклинических испытаниях разрабатываемых вакцин.
Материалы и методы
Вирус. Изучали эпидемический штамм SARSCoV-2/KZ_Almaty/04.2020 вируса SARS-CoV-2, выделенный из клинического образца и депонированный в республиканском депозитарии коллекции микроорганизмов РГП НИИПББ КН МОН РК [22]. Вирус был выделен в культуре клеток Vero (4-й пассаж). Титр вируса составил 4,50 lg ТЦД50/мл. Штамм SARS-CoV-2/human/KAZ/KZ_Almaty/2020 был секвенирован, и полная последовательность генома была депонирована в GenBank под номером MZ379258.1. Нуклеотидная последовательность генома штамма SARS-CoV 2/human/KAZ/KZ_Almaty/2020 была на 100% идентична изоляту Wuhan-Hu-1 (NC_045512.2).
Животные. В работе были использованы сирийские хомяки в количестве 16 голов. Перед работой всем животным проводили термометрию, после чего у них отбирали сыворотку крови для определения вируснейтрализирующих антител в организме к изучаемому вирусу. Далее животные рандомизированным методом были разделены на 2 группы: 1-я группа (8 животных) являлась контрольной; животным 2-й группы (8 особей; интраназальная группа) вводили интраназально инфекционный материал (по 0,2 мл в ноздри).
При заражении хомяков титр вируса составил 4,50 lg ТЦД50/мл (31 000 ТЦД), инфекционный материал применяли в цельном виде без дополнительных разведений. После заражения животных помещали в клетки и оставляли в автономно вентилируемом шкафу для содержания животных. На каждую клетку навешивали этикетки с указанием вируса, количества и номеров зараженных животных, даты заражения. В рабочем журнале записывали название вируса, его количество и характеристику зараженных животных, их маркировку, метод введения и дозу вируса.
За животными устанавливали наблюдение, обращали внимание на их внешний вид, подвижность, прием корма и фиксировали внешние клинические признаки заболевания (общее состояние, температура, подвижность, аппетит, взъерошенность шерсти) в течение 14 сут. Во время опыта у всех животных на 3, 5, 7, 9, 12 и 14-е сутки проводили забор крови, смывов носовой и ротовой полости для выявления вируса. Из двух групп на 7-е сутки для контрольных гистологических исследований отобрали 4 животных, которых подвергли эвтаназии путем цервикальной дислокации. Также использовали хомяков, павших во время опыта. У всех извлекли легкие. Наличие вируса в материале подтверждали с помощью полимеразной цепной реакции (ПЦР) и вирусологических исследований. При этом следует отметить, что для установления передачи инфекции во время исследования один хомяк был перемещен из контрольной группы в зараженную вместо павшего хомяка. Оставшихся в живых хомяков на 14-е сутки после инфицирования подвергли эвтаназии методом цервикальной дислокации с последующим отбором пробы крови, смывов носовой и ротовой полости и легких для дальнейшего исследования вышеуказанными методами.
Подопытных животных содержали на стандартном рационе с достаточным количеством воды, согласно ветеринарному законодательству и в соответствии с требованиями по гуманному содержанию и использованию животных в экспериментальных исследованиях. Авторы подтверждают соблюдение институциональных и национальных стандартов по использованию лабораторных животных в соответствии с Consensus author guidelines for animal use (IAVES 23 July 2010). Протокол исследования одобрен Этическим комитетом Научно-исследовательского института проблем биологической безопасности Министерства здравохранения Республики Казахстан (Протокол № 4 от 14.04.2021)..
Заражение производили с соблюдением этических и гуманных обоснованных правил [23].
Патологоанатомические вскрытие выполняли согласно методике, описанной в работе [24].
Гистологический анализ. Для проведения гистологических исследований были взяты биоматериалы из ткани легких. Проводку и заливку материала осуществляли с применением общепринятых в патоморфологии методов, по руководству Г.А. Меркулова (1969). Материал фиксировали в 10% водном растворе нейтрального формалина. Уплотняли патматериал в парафине, также применяли замораживающий микротом.
После этого готовили 54-серийные парафиновые срезы толщиной 5 и 6 мкм. Ультратонкие срезы изготавливали на полуавтоматическом микротоме HEOTION ERM 3100 и на микротоме МС-2. Срезы окрашивали общепринятыми и некоторыми особыми гистологическими методами с использованием гематоксилина и эозина на процессоре для окраски срезов Leica №S4040/№000000358.
Гистологические микропрепараты изучали с помощью бинокулярного микроскопа МБИ-6 под разным увеличением.
Выделение РНК. РНК была извлечена из патологических материалов с помощью набора для вирусного выделения QIAamp viral RNA mini kit (QIAGEN, Германия) согласно инструкции производителя.
Анализ вирусной РНК. Для амплификации гена N вируса SARS-CoV-2 были использованы следующие праймеры и зонд: N_Sarbeco_F (cacattggcacccgcaatc), N_Sarbeco_R (gaggaacgagaagaggcttg) и N_Sarbeco_P (fam-acttcctcaaggaacaacattgcca-bbq) [25]. Вирусный геном оценивали с помощью количественной ПЦР в реальном времени с использованием набора Superscript III Platinum One-Step RT-PCR System with Platinum Taq DNA Polymerase (Invitrogen, США) согласно инструкции изготовителя. Реакции проводили в термоциклере Rotor-Gene 6000 Series (Qiagen, Германия) по следующей программе: 1 цикл обратной транскрипции при 50 ºC в течение 20 мин, 1 цикл при 95 ºC в течение 3 мин, затем 45 циклов при 95 ºC в течение 15 с и 58 ºC в течение 30 с.
Выделение вируса в культуре клеток. Выделение вируса проводили из образцов легких, в которых обнаружили вирусную РНК методом ПЦР. С этой целью готовили 20% органо-тканевую суспензию из легких хомяков с использованием общепринятой методики. Ткани легких хомяков гомогенизировали в фосфатно-солевом буфере (PBS) для получения 20% (масса/объем) суспензии, которую центрифугировали при 3000g в течение 20 мин при 4 °C. Супернатант фильтровали через фильтр 0,2 мкм (mMillexGV; Millipore, США). Далее полученным супернатантом заражали культуры клеток в стерильном боксе в лаборатории УББ-3. Перед заражением все матрасы с культурой клеток микроскопировали и отбирали матрасы только с хорошим, типичным монослоем. На монослой культуры клеток Vero после удаления питательной среды наносили приготовленную 20% суспензию в объеме 0,5 мл и выдерживали в течение 60 мин при температуре 37 °С. Затем инокулят удаляли, монослой промывали в трех сменах раствором PBS, вносили поддерживающую среду DMEM с фетальной сывороткой крови и продолжали культивирование при температуре 37 °С с ежедневной микроскопией монослоя культуры клеток. Наличие вируса устанавливали по цитопатогенному действию в зараженных культурах клеток сравнительно с контрольной незараженной культурой клеток. В случае отсутствия цитопатического действия в культуре клеток Vero, зараженной образцами биоматериалов, проводили «слепое» пассирование в течение не менее трех генераций.
Статистическая обработка экспериментальных данных. Все исследования проводили с числом повторностей, обеспечивающих получение достоверных результатов. Полученные результаты исследования обрабатывали математически. Подсчет среднего арифметического значения (Х) и средней квадратической ошибки (m) осуществляли с помощью программы GraphPad Prism8. Достоверность различий между показателями (p < 0,05) определяли с применением критерия Стьюдента.
Результаты
Интраназальное заражение. На 2-е и 3-и сутки у всех инфицированных животных отмечали стрессовое состояние, пассивность, взъерошенность шерсти и поглаживание, растирание конечностями носового зеркальца. Было выявлено также снижение живой массы и температуры тела. Животные находились в клинически угнетенном состоянии (угнетение, поглаживание носового зеркальца). У некоторых хомяков температура тела составила 32,4 °С (рис. 1), после чего спустя 2 ч животные пали. Для установления способа инфицированности вирусом во время совместного содержания животных один хомяк из контрольной группы был перемещен в группу, зараженную интраназальным методом, вместо павшего хомяка. В остальные дни (с 4-х по 14-е сутки) у зараженных хомяков группы сохранялись проявленные клинические признаки заболевания, такие как общее угнетение и частое поглаживание носового зеркальца. У 20% хомяков были зафиксированы эритемные высыпания красного цвета на коже. Эти водянистые эритемные высыпания красного цвета на коже вокруг хвоста превращались в мелкие пузырьки с серозно-геморрагическим содержанием на 7-е сутки после заражения. С 8-х суток формировались корочки грануляционной ткани в местах кожных эритем в каудальной части тела. Пик заболевания приходился на 5–8-е сутки после заражения. В это же время у животных зараженной группы температура тела имела достоверные отличия от контрольной группы (p ≤ 0,05).
Рис. 1. Параметры термометрии и измерения массы тела зараженных интраназально животных.
а – результаты измерения температуры тела хомяков, зараженных интраназально: max t °C, min t °C – максимальный и минимальный предел нормальной температуры тела; «х» – на 3-и сутки пал один хомяк, зараженный интраназальным методом; ** – для установления инфицированностью вирусом один хомяк из контрольной группы перемещен в группу зараженных животных вместо павшего хомяка; б – результаты измерения живой массы тела хомяков.
Fig. 1. Indicators of thermometry and body weight measurements of infected animals.
a – results of body temperature measurements in hamsters infected intranasally: max t °C, min t °C – maximum and minimum limits of normal body temperature for hamsters; «x» – on the third day, one hamster infected by the intranasal method died; ** – to establish infection with the virus during the joint keeping of animals, one hamster was transferred from the control group to the group of animals infected by the intranasal method instead of the dead hamster; b – results of the measurements of live body weight of hamsters.
Контрольная группа. В контрольной группе абсолютно не отмечались какие-либо признаки заболевания на протяжении всего срока наблюдения. Животные контрольной группы в конце опыта подверглись эвтаназии путем цервикальной дислокации, как и зараженные животные. Были отобраны патологические материалы для сравнительных исследований.
Гистопатологическое исследование легких хомяков
При интраназальном заражении. Вскрытие грудной полости хомяков показало неравномерную окрашенность легких, были обнаружены многочисленные точечные кровоизлияния под серозной оболочкой. Бронхиальные и средостенные лимфатические узлы были увеличены. Остальные внутренние органы брюшной полости хомяков анатомически располагали правильно и были без видимых патологических изменений.
Гистологическое исследование пробы хомяка из группы интраназального заражения, отобранной на 3-и сутки, выявило патогистологические изменения легкого, соответствующие повреждениям начальной экссудативной фазы острого респираторного дистресс-синдрома. Были зарегистрированы обширное диффузное альвеолярное повреждение, атрофия и коллапс альвеол, десквамация атипичных пневмоцитов. Наблюдалась лишь малая часть альвеол, сохранивших нормальные микроструктуры (рис. 2).
Рис. 2. Парафиновые срезы легких хомяка. Патогистологическая картина легкого на 3-и сутки после заражения вирусом SARS-CoV-2.
а – микрорисунок легкого с диффузным повреждением альвеол, эмфиземами вблизи плевры и незначительным количеством нормально функционирующих альвеол; б – очаговое скопление микроорганизмов (указано стрелкой) с контактирующими единичными нейтрофилами. Окраска гематоксилином и эозином. ОК. ×10, об. ×4 (а); ОК. ×10, об. ×100 (под иммерсионной системой) (б).
Fig. 2. Paraffin sections of hamster lungs. Pathohistological picture of the lung on the 3rd day after infection with SARS-CoV-2 virus.
a – micrograph of the lung with diffuse damage to the alveoli, emphysema near the pleura and a small number of normally functioning alveoli; b – focal accumulation of microorganisms (indicated by an arrow) with contacting single neutrophils. Hematoxylin and eosin staining. Oс. ×10, lens ×4 (a); Oc. ×10, lens ×100 (under the immersion system) (b).
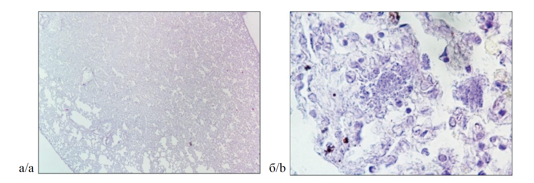
На 7-е сутки от начала заражения отмечали интенсивное окрашивание микроструктур легкого хомяка, что объяснялось переходом острого респираторного дистресс-синдрома во 2-ю пролиферативную фазу. Визуализировалось уменьшение белково-фибринового экссудата в просветах альвеол. Микроструктура отдельных бронхов среднего и большого калибров начинала восстанавливаться, а диффузное повреждение альвеол перешло на очаговое воспаление. Повсеместно были выявлены восстановленные альвеолы с характерной нормальной дыхательной мембраной (рис. 3).
Рис. 3. Парафиновые срезы легких хомяка. Патогистологическая картина легкого на 7-е сутки после заражения вирусом SARS-CoV-2.
а – гиперемия, стаз и геморрагический некроз в сосудах и бронхиолах паренхимы органа; б – микрокартина восстановления дыхательной мембраны, гиперемия и вазодилатация капилляров, инфильтрация воспалительными клетками. Окраска гематоксилином и эозином. ОК. ×10, об. ×10 (а); ОК. ×10, об. ×40 (б).
Fig. 3. Paraffin sections of hamster lungs. Pathohistological picture of the lung on the 7th day after infection with SARS-CoV-2 virus.
a – hyperemia, stasis and hemorrhagic necrosis in the vessels and bronchioles of the organ parenchyma; b – micropicture of restoration of the respiratory membrane, hyperemia and vasodilation of capillaries, infiltration by inflammatory cells. Hematoxylin and eosin staining. Oc. ×10, lens ×10 (a); Oc. ×10, lens ×40 (b).
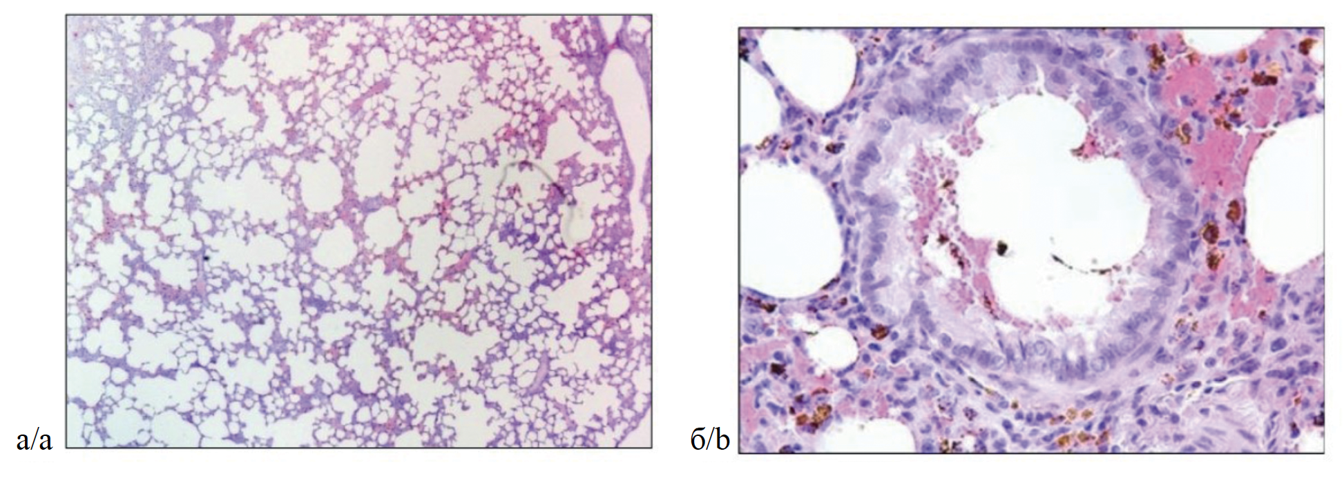
На 14-е сутки после заражения доминирующая часть микроструктурных элементов паренхимы легкого уже была восстановлена. Альвеолы имели характерные тонкие дыхательные мембраны. Пневмоциты I и II типов различались без труда, а атипичные пневмоциты в таких восстановленных участках не наблюдались. Многие бронхиолы и сосуды начали функционировать нормально. Участки паренхимы легкого с кровоизлияниями были редуцированы. Однако значительная часть легкого находилась в поврежденном состоянии. Отмечались гиперемия и стаз в ряде сосудов, и только в единичных бронхиолах были видны кровоизлияния (рис. 4).
Рис. 4. Парафиновые срезы легких хомяка. Патогистологическая картина легкого на 14-е сутки после заражения вирусов SARS-CoV-2.
а – заметное увеличение восстанавливающихся зон паренхимы легкого; б – бронхиола в состоянии восстановления с внутренним содержанием эритроцитов, микротромбы, геморрагический некроз и диффузная инфильтрация лимфоидной ткани. Окраска гематоксилином и эозином. ОК. ×10, об. ×4 (а); ОК. ×10, об. ×40 (б).
Fig. 4. Paraffin sections of hamster lungs. Pathohistological picture of the lung on the14th day after infection with SARS-CoV-2 virus.
a – noticeable increase in the reducing zones of the lung parenchyma; b – bronchiole in a state of recovery with an internal content of red blood cells, microthrombi, hemorrhagic necrosis and diffuse infiltration of lymphoid tissue. Hematoxylin and eosin staining. Oc. ×10, lens ×4 (a); Oc. ×10, lens ×40 (b).
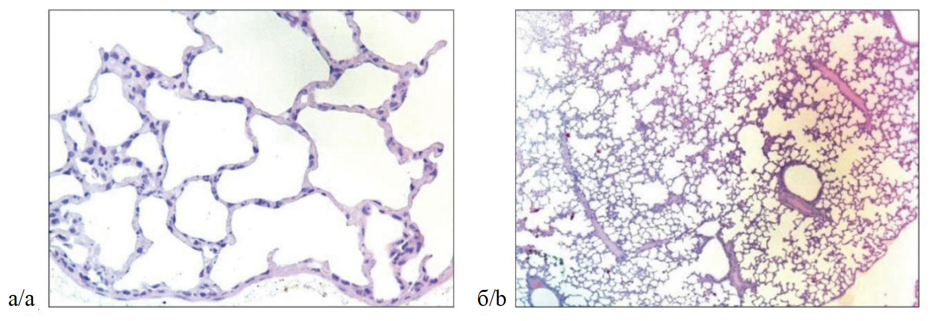
В контрольной группе. При вскрытии брюшной полости контрольных животных было установлено, что все внутренние органы анатомически правильно расположены. Брюшина была бледно-розового цвета, гладкая, блестящая. Видимых изменений не было выявлено (рис. 5).
Рис. 5. Парафиновые срезы легких хомяка. Патогистологическая картина легкого хомяка контрольной группы.
а – на 7-е сутки после начала опыта; б – на 14-е сутки после начала опыта. Окраска гематоксилином и эозином. ОК. ×10, об. ×4 (а); ОК. ×10, об. ×40 (в).
Fig. 5. Paraffin sections of hamster lungs. Pathohistological picture of the lungs of hamsters from the control group.
a – on the 7th day after the start of the experiment; b – on the 14th day after the start of the experiment; Hematoxylin and eosin staining. Oc. ×10, lens ×4 (a); Oc. ×10, lens ×40 (b).
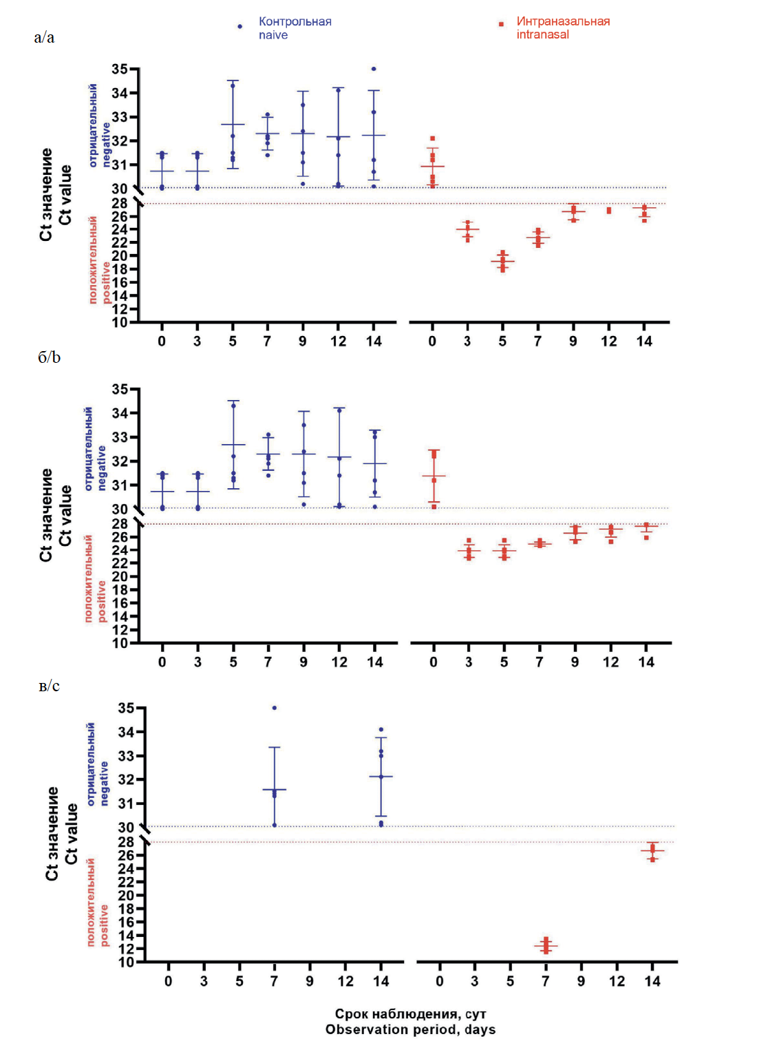
Исследование ПЦР в реальном времени. Для подтверждения наличия коронавирусной инфекции выделяли РНК из клинических образцов и патологических материалов, полученных от экспериментально инфицированных животных, с помощью коммерческого набора согласно инструкции производителя. Данные о результатах исследований по выявлению РНК вируса SARS-CoV-2 из клинических и патологических материалов в ПЦР представлены на рис. 6.
Рис. 6. Результаты ПЦР-исследований клинических и патологических материалов, выделенных от хомяков контрольной группы и животных, зараженных вирусом SARS-CоV-2.
а – назальные смывы; б – оральные смывы; в – ткани легких.
Fig. 6. Results of PCR testing of clinical and pathological materials from hamsters of the control group and those infected with the SARS-CоV-2 virus.
a – nasal washes; b – oral washes; c – lung tissue.
Как видно из рис. 6, во всех пробах (оральные и назальные смывы и ткани легких), полученных от зараженных животных, была обнаружена РНК вируса SARS-CoV-2. Для окончательного установления репликации вируса в дыхательных органах хомяков далее было проведено вирусовыделение на культуре клеток.
Выделение вируса в культуре клеток. Выделение вирусов проводили из всех клинических и патологических материалов, в которых обнаружили вирусную РНК методом ПЦР в реальном времени. Результаты исследований всех клинических образцов (за исключением животных контрольной группы), отобранных на 3, 5 и 7-е сутки после инфицирования, показали наличие вируса в культуре клеток с титрами в пределах от 0,54 ± 0,10 до 1,41 ± 0,20 lg ТЦД50/мл. При этом следует отметить, что вирусовыделение было обнаружено во всех носовых и оральных пробах, полученных от хомяков, зараженных интраназальным методом, в течение 14 сут.
Результаты исследования вирусовыделения из ткани легких, проведенное на 7-е и 14-е сутки (рис. 7), выявило у зараженных интраназальным методом хомяков содержание вируса с титром 3,66 ± 0,41 lg ТЦД50/мл (на 7-е сутки) и 1,04 ± 0,19 lg ТЦД50/мл (на 14-е сутки).
Рис. 7. Вирусовыделение из клинических и патологических материалов от хомяков, зараженных разными методами вирусом SARS-CoV-2.
а – назальные смывы; б – оральные смывы; в – ткани легких.
Fig. 7. Virus isolation from clinical and pathological materials from hamsters infected by various methods with the SARS-CoV-2 virus.
a – nasal washes; b – oral washes; c – lung tissue.
Обсуждение
Пандемия, связанная с новой коронавирусной инфекцией (COVID-19), нанесла колоссальный вред экономике во всем мире. Вполне вероятно, что коронавирусы продолжат появляться и вызывать вспышки среди популяции людей и животных за счет своей высокой контагиозности и способности к мутации [11]. В рамках будущих исследований по коронавирусам будет продолжено изучение многих аспектов репликации вирусов и патогенеза [25, 26]. На сегодняшний день ученые всего мира активно разрабатывают вакцины против коронавирусной инфекции. Доклинические испытания вакцин-кандидатов проводят на животных моделях. При этом основной упор делают на выяснение патогенеза, а животная модель должна полностью воспроизводить ключевые аспекты заболевания. Также модели животных должны быть тщательно оценены и отобраны для достижения экспериментальных целей [18].
Сирийский хомяк является широко используемой экспериментальной моделью животных и, как сообщалось, поддерживает репликацию вируса SARS-CoV [20, 21]. Недавнее исследование [18] показало, что хомяк может быть рекомендован в качестве биологической модели для изучения вируса SARS-CoV-2. Во всех вышеперечисленных исследованиях, в том числе и в настоящей работе, заражение животных производили интраназальным путем. При этом инфицирующая доза вируса составила 4,50 ТЦД50/мл. Клинические признаки при интраназальном заражении ярко выражены и проявляются как общее угнетенное состояние, частое поглаживание носового зеркальца и снижение температуры от физиологической нормы у хомяков. На 3-и сутки после заражения погибло одно инфицированное животное. В экспериментах, проведенных нами на хомяках, была предпринята попытка определить возможность передачи вируса от зараженного животного здоровому воздушно-капельным путем. При этом для установления пути инфицирования вирусом одного хомяка из контрольной группы переместили в группу, зараженную интраназальным методом. В результате было выявлено, что у здорового животного обнаруживались общие клинические симптомы, такие как потеря аппетита, частое поглаживание ноздри, диарея и снижение температуры и массы тела. Проведенные исследования по изучению механизма передачи вируса при совместном содержании неинфицированного животного с инфицированными подтвердили результаты аналогичных исследований других авторов [18]. Возможным клиническим проявлением у хомяков могут быть также красные эритемные высыпания, которые были проявлены у некоторых хомяков, зараженных интраназальным методом, в настоящем эксперименте. Другие авторы, проводившие исследования на хомяках, не описывали подобные случаи. Однако имеются работы, в которых сообщается о кожных проявлениях при COVID-19 у человека [30]. Контроль температуры тела хомяков показал снижение температуры у группы зараженных интраназальным методом. Также вследствие такого клинического признака, как потеря аппетита, в группе инфицированных хомяков, отмечалась постоянная потеря массы тела. Для изучения патогенности вируса на внутренних органах в настоящем исследовании было проведено паталогоанатомическое вскрытие, результаты которого показали точечные кровоизлияния и увеличение бронхиальных и стеночных лимфатических узлов. Полученные данные свидетельствуют о возникновении патологических изменений при заражении. Отмеченные клинические симптомы у хомяков являются общими для респираторных заболеваний, поэтому для дальнейшего изучения действия вируса и его идентификации были проведены дополнительные исследования. Изучение использования АСЕ2 человека в качестве входного рецептора SARS-CoV и SARS-CoV-2 в ранних исследованиях показало значительную репликацию в клетках Calu3 (легких), что соответствует способности этих коронавирусов вызывать инфекции нижних дыхательных путей [27, 28]. В настоящем эксперименте патологоанатомическое вскрытие выявило патологию легких животного, что подтвердило результаты ранее проведенных работ. Гистологические исследования у авторов [29], изучавших клинические и патологические проявления COVID-19 на модели сирийских хомяков, продемонстрировали наличие в легочной ткани инфицированных животных воспалительных инфильтратов, характерных для легкой формы течения COVID-19 [29]. Аналогичные результаты были получены и в настоящем исследовании.
В настоящей работе с помощью методов молекулярно-генетического анализа было проведено ПЦР-исследование на выявление вирусных РНК в образцах, полученных от подопытных животных. ПЦР-исследование в реальном времени показало наличие вирусных РНК в образцах, взятых из носовых и оральных смывов на 3-и и 14-е сутки, а также из тканях легких, отобранных на 7-е и 14-е сутки. Полученные ПЦР-результаты указывают на успешную репликацию вируса на данных моделях в эксперименте, что согласуется с сообщениями других исследователей [18].
Для достоверности данных о содержании способных к репликации вирусов в настоящей работе в эксперименте также было использовано вирусовыделение в культуре клеток. Выделение вирусных патогенов в клеточных культурах является классическим методом вирусологии. Несмотря на то что данный метод достаточно медленный и требует значительных технических знаний, на протяжении десятилетий он считался «золотым стандартом» лабораторной диагностики вирусных заболеваний. Нами были проведены опыты по выделению вируса из клинических и патологических материалов от экспериментально инфицированных животных путем заражения в культуре клеток Vero. Вирусовыделение из клинических образцов легких, смывов зараженных животных показало высокий титр вируса на 5-е сутки, а вирусовыделение из клинических образцов легких ‒ на 7-е сутки.
Заключение
По результатам проведенных исследований было установлено, что хомяки восприимчивы к вирусу SARS-CoV-2 и показывают аналогичное с человеком развитие пневмонии при заражении. Клинические проявления болезни у хомяков были ярко выражены. Признаками клинических проявлений являлись понижение температуры тела, обеспокоенность, пассивность. Также при наблюдении в течение 2 нед отмечали значительное снижение массы тела у зараженных хомяков. Возможным проявленным клиническим признаком болезни могут быть эритемные высыпания красного цвета на коже вокруг хвоста, выступившие у некоторых хомяков. При этом показана низкая летальность среди зараженных хомяков. Вирус быстро реплицируется в клетках дыхательных путей. В настоящей работе показана воздушно-капельная передача вируса при контактном содержании здоровыми хомяка с зараженными животными. Полученные результаты подтверждают, что хомяки могут быть полезными в создании биологической модели для оценки вакцин-кандидатов к COVID-19, поскольку картина патогенеза и клинических проявлений у этого животного близка к проявлениям вируса у человека.
About the authors
Moldir S. Tuyskanova
Research Institute for Biological Safety Problems; Al-Farabi Kazakh National University
Email: monica_94@list.ru
ORCID iD: 0000-0001-6565-082X
Master of Pedagogical Sciences, majoring in biology, junior researcher, Research Institute of Biological Safety Problems, Gvardeyskiy, Republic of Kazakhstan; Institute of the Ministry of Health of the Republic of Kazakhstan, Almaty, Republic of Kazakhstan
Kazakhstan, 080409, Gvardeyskiy; 050040, AlmatyKuandyk D. Zhugunissov
Research Institute for Biological Safety Problems
Email: kuandyk_83@mail.ru
ORCID iD: 0000-0003-4238-5116
PhD, head of the laboratory Collection of microorganisms, Research Institute of Biological Safety Problems, Gvardeyskiy, Republic of Kazakhstan
Kazakhstan, 080409, GvardeyskiyMehmet Ozaslan
Gaziantep University
Email: ozaslanmd@yahoo.com
ORCID iD: 0000-0001-9380-4902
professor, lecturer, Gaziantep University, Department of Biology
Turkey, 27310, GaziantepBalzhan S. Myrzakhmetova
Research Institute for Biological Safety Problems
Email: balzhan.msh@mail.ru
ORCID iD: 0000-0002-4141-7174
Candidate of Veterinary Sciences, Head of the Laboratory Especially Dangerous Infectious Diseases, Research Institute of Biological Safety Problems, Gvardeyskiy, Republic of Kazakhstan
Kazakhstan, 080409, GvardeyskiyLespek B. Kutumbetov
Research Institute for Biological Safety Problems
Author for correspondence.
Email: lespek.k@gmail.com
ORCID iD: 0000-0001-8481-0673
professor, chief researcher, Research Institute of Biological Safety Problems, Gvardeyskiy, Republic of Kazakhstan
Kazakhstan, 080409, GvardeyskiyReferences
- Schalk A.F., Hawn M.C. An apparently new respiratory disease of baby chicks. J. Am. Vet. Med. Assoc. 1931; 78: 413–23.
- Almeida J.D., Berry D.M., Cunningham C.H., Hamre D., Hofstad M.S., Mallucci L., et al. Virology: Coronaviruses. Nature. 1968; 220: 650. https://doi.org/10.1038/220650b0
- Lvov D.K., ed. Viruses and Viral Infections of Humans and Animals. Handbook of Virology [Virusy i virusnye infektsii cheloveka i zhivotnykh. Rukovodstvo po virusologii]. Moscow: MIA; 2013. https://elibrary.ru/tlzmhf (in Russian)
- Chuchalin A.G. Severe acute respiratory syndrome (SARS). Terapevticheskiy arkhiv. 2004; 76(3): 5–11. https://elibrary.ru/ojztgl (in Russian)
- Shchelkanov M.Yu., Kolobukhina L.V., Lvov D.K. Human coronaviruses (Nidovirales, Coronaviridae): increased level of epidemic threat. Lechashchiy vrach. 2013; (10): 49–54. https://elibrary.ru/takhvr (in Russian)
- WHO. Summary of probable SARS cases with onset of illness from 1 November 2002 to 31 July 2003 (based on data as of the 31 December 2003). Available at: https://www.who.int/publications/m/item/summary-of-probable-sars-cases-with-onset-of-illness-from-1-november-2002-to-31-july-2003
- Li W., Shi Z., Yu M., Ren W., Smith C., Epstein J.H., et al. Bats are natural reservoirs of SARS-like coronaviruses. Science. 2005; 310(5748): 676–9. https://doi.org/10.1126/science.1118391
- Menachery V.D., Yount B.L. Jr, Debbink K., Agnihothram S., Gralinski L.E., Plante J.A., et al. A SARS-like cluster of circulating bat coro- naviruses shows potential for human emergence. Nat. Med. 2015; 21(12): 1508–13. https://doi.org/10.1038/nm.3985
- Shchelkanov M.Yu., Popova A.Yu., Dedkov V.G., Akimkin V.G., Maleev V.V. History of investigation and current classification of coronaviruses (Nidovirales: Coronaviridae). Infektsiya i immunitet. 2020; 10(2): 221–46. https://doi.org/10.15789/2220-7619-HOI-1412 https://elibrary.ru/kziwrq (in Russian)
- Chuchalin A.G., ed. Pulmonology: National Guide [Pul’monologiya: natsional’noe rukovodstvo]. Moscow: GEOTAR-Media; 2016. (in Russian)
- Ryu S., Chun B.C. An interim review of the epidemiological characteristics of 2019 novel coronavirus. Epidemiol. Health. 2020; 42: e2020006. https://doi.org/10.4178/epih.e2020006
- Wu F., Zhao S., Yu B., Chen Y.M., Wang W., Song Z.G., et al. A new coronavirus associated with human respiratory disease in China. Nature. 2020; 579(7798): 265–9. https://doi.org/10.1038/s41586-020-2008-3
- Gorbalenya A.E., Baker S.C., Baric R.S., de Groot R.J., Drosten C., Gulyaeva A.A., et al. Severe acute respiratory syndrome-related coronavirus: the species and its viruses – a statement of the Coronavirus Study Group. bioRxiv. 2020. Preprint. https://doi.org/10.1101/2020.02.07.937862
- Li Q., Guan X., Wu P., Wang X., Zhou L., Tong Y., et al. Early transmission dynamics in Wuhan, China, of novel coronavirus-infected pneumonia. N. Engl. J. Med. 2020; 382(13): 1199–207. https://doi.org/10.1056/nejmoa2001316
- Wu Z., McGoogan J.M. Characteristics of and important lessons from the coronavirus disease 2019 (COVID-19) outbreak in China: summary of a report of 72314 CASES FROM the Chinese Center for Disease Control and Prevention. JAMA. 2020; 323(13): 1239–42. https://doi.org/10.1001/jama.2020.2648
- Wu J.T., Leung K., Bushman M., Kishore N., Niehus R., de Salazar P.M., et al. Estimating clinical severity of COVID-19 from the transmission dynamics in Wuhan, China. Nat. Med. 2020; 26(4): 506–10. https://doi.org/10.1038/s41591-020-0822-7
- WHO. COVID-19 vaccine tracker and landscape. Available at: https://www.who.int/publications/m/item/draft-landscape-of-covid-19-candidate-vaccines
- Sia S.F., Yan L.M., Chin A.W.H., Fung K., Choy K.T., Wong A.Y.L., et al. Pathogenesis and transmission of SARS-CoV-2 in golden hamsters. Nature. 2020; 583(7818): 834–8. https://doi.org/10.1038/s41586-020-2342-5
- Bolles M., Deming D., Long K., Agnihothram S., Whitmore A., Ferris M., et al. A double-inactivated severe acute respiratory syndrome coronavirus vaccine provides incomplete protection in mice and induces increased eosinophilic proinflammatory pulmonary response upon challenge. J. Virol. 2011; 85(23): 12201–15. https://doi.org/10.1128/jvi.06048-11
- Roberts A., Lamirande E.W., Vogel L., Jackson J.P., Paddock C.D., Guarner J., et al. Animal models and vaccines for SARS-CoV infection. Virus Res. 2008; 133(1): 20–32. https://doi.org/10.1016/j.virusres.2007.03.025
- Roberts A., Vogel L., Guarner J., Hayes N., Murphy B., Zaki S., et al. Severe acute respiratory syndrome coronavirus infection of golden Syrian hamsters. J. Virol. 2005; 79(1): 503–11. https://doi.org/10.1128/jvi.79.1.503-511.2005
- Kasenov M.M., Orynbaev M.B., Zakar’ya K., Kerimbaev A.A., Zhugunisov K.D., Sultankulova K.T., et al. The strain “SARS-CoV-2/KZ_Almaty/04.2020” of the COVID-19 coronavirus infection virus, used for the preparation of specific prophylaxis, laboratory diagnostics and evaluation of the effectiveness of biological protection of vaccines against COVID-19 coronavirus infection. Patent RK № 34762; 2020. (in Russian)
- Belozertseva I.V., Blinov D.V., Krasil’shchikova M.S., eds. Guidelines for the Keeping and Use of Laboratory Animals [Rukovodstvo po soderzhaniyu i ispol’zovaniyu laboratornykh zhivotnykh]. St. Petersburg; 2014. (in Russian)
- Bol’ B.K. Pathoanatomical Autopsy of Farm Animals [Patologoanatomicheskoe vskrytie sel’skokhozyaystvennykh zhivotnykh]. Moscow: Sel’khozgiz; 1950. (in Russian)
- Gretebeck L.M., Subbarao K. Animal models for SARS and MERS coronaviruses. Curr. Opin. Virol. 2015; 13: 123–9. https://doi.org/10.1016/j.coviro.2015.06.009
- Fehr A.R., Perlman S. Coronaviruses: an overview of their replication and pathogenesis. Methods Mol. Biol. 2015; 1282: 1–23. https://doi.org/10.1007/978-1-4939-2438-7_1
- Lau S.K.P., Lau C.C.Y., Chan K.H., Li C.P.Y., Chen H., Jin D.Y., et al. Delayed induction of proinflammatory cytokines and suppression of innate antiviral response by the novel Middle East respiratory syndrome coronavirus: implications for pathogenesis and treatment. J. Gen. Virol. 2013; 94(Pt. 12): 2679–90. https://doi.org/10.1099/vir.0.055533-0
- Chu H., Chan J.F., Yuen T.T., Shuai H., Yuan S., Wang Y., et al. Comparative tropism, replication kinetics, and cell damage profiling of SARS-CoV-2 and SARS-CoV with implications for clinical manifestations, transmissibility, and laboratory studies of COVID-19: an observational study. Lancet Microbe. 2020; 1(1): e14–23. https://doi.org/10.1016/s2666-5247(20)30004-5
- Chan J.F., Zhang A.J., Yuan S., Poon V.K., Chan C.C., Lee A.C., et al. Simulation of the clinical and pathological manifestations of Coronavirus Disease 2019 (COVID-19) in golden Syrian hamster model: implications for disease pathogenesis and transmissibility. Clin. Infect. Dis. 2020; 71(9): 2428–46. https://doi.org/10.1093/cid/ciaa325
- Galván Casas C., Català A., Carretero Hernández G., Rodríguez-Jiménez P., Fernández-Nieto D., Rodríguez-Villa Lario A., et al. Classification of the cutaneous manifestations of COVID-19: a rapid prospective nationwide consensus study in Spain with 375 cases. Br. J. Dermatol. 2020; 183(1): 71–7. https://doi.org/10.1111/bjd.19163
Supplementary files










